Гиперэхогенное образование в матке – термин, вызывающий беспокойство у женщин при ультразвуковом исследовании. Такие образования могут указывать на различные патологии, поэтому важно понимать их причины и признаки для своевременной диагностики и лечения. В статье рассмотрим, что такое гиперэхогенные образования, факторы их возникновения и шаги, которые следует предпринять при их обнаружении. Эта информация поможет читателям лучше ориентироваться в вопросах здоровья и принимать обоснованные решения.
Коротко о патологии
Гиперэхогенные участки могут указывать на обычные проявления, однако чаще всего они сигнализируют о наличии заболеваний. Это обстоятельство требует более детального диагностического обследования и, в большинстве случаев, обязательного лечения.
Структуры, которые обладают высокой способностью к отражению звуковых волн, имеют разнообразный характер.
К ним относятся:
- доброкачественные и злокачественные опухоли;
- небольшие отложения кальция;
- сгустки менструальной крови, а также последствия аборта;
- хронические эндометриты;
- полипы;
- миомы;
- внутриматочные спирали – контрацептивные устройства.
Другим названием таких находок являются включения. Это также указывает на область изменений в органе.
Гиперэхогенное образование в матке вызывает значительное беспокойство у женщин и врачей. Эксперты отмечают, что такие образования могут быть связаны с различными причинами, включая миомы, полипы или даже злокачественные опухоли. Признаки, на которые стоит обратить внимание, включают боли внизу живота, нарушения менструального цикла и аномальные выделения. Важно помнить, что не все гиперэхогенные образования являются злокачественными, однако их наличие требует тщательной диагностики. Специалисты рекомендуют не откладывать визит к врачу при появлении симптомов и проходить регулярные обследования, чтобы своевременно выявить и устранить возможные проблемы. Ранняя диагностика и правильное лечение могут значительно повысить шансы на благоприятный исход.

Особенности проявления
Обнаружение на УЗИ признаков уплотнения рассматривается по их способности пропускать звуковой сигнал или препятствовать его проходимости.
Эхопризнаки включений в женском половом органе – явление не редкое. Основная задача ультразвукового исследования – их своевременное выявление.
Эхоплотность включений классифицируется по трем категориям:
- Изоэхогенные. Эти проявления не вызывают опасений и считаются допустимыми показателями. Их эхоплотность не отличается от тканей матки.
- Гипоэхогенные. Эхопризнаки этого вида характеризуются низкой плотностью. На УЗИ они выглядят темнее окружающих структур.
- Гиперэхогенные. Большая сопротивляемость таких включений к прохождению звукового сигнала проявляется в виде светлых участков. Это включение обладает более плотной структурой, чем ткани матки.
Следует отметить, что ультразвуковое исследование дает возможность выявить даже маленькие образования.
Так выглядит гиперэхогенное образование на экране УЗИ
| Признак/Причина гиперэхогенного образования в матке | Возможные причины | Что делать? |
|---|---|---|
| Гиперэхогенное образование с четкими границами, округлой формы | Миома матки (фиброма), лейомиома | Консультация гинеколога, УЗИ-мониторинг, возможно назначение гормональной терапии или хирургического вмешательства (в зависимости от размера, локализации и симптомов) |
| Гиперэхогенное образование с неровными границами, неоднородной структуры | Полип эндометрия, аденомиоз, гиперплазия эндометрия, рак эндометрия | Консультация гинеколога, гистологическое исследование (биопсия), возможно назначение гормональной терапии, выскабливание, хирургическое удаление |
| Гиперэхогенное образование, кальцинированные участки | Миома матки с кальцификатами, эндометриома (киста с кальцификатами) | Консультация гинеколога, УЗИ-мониторинг, возможно назначение гормональной терапии или хирургического вмешательства |
| Отсутствие симптомов | Небольшая миома, полип эндометрия небольшого размера | Динамическое наблюдение с помощью УЗИ |
| Кровотечения, боли внизу живота, нарушения менструального цикла | Большая миома, полип эндометрия, аденомиоз, гиперплазия эндометрия | Консультация гинеколога, дополнительные исследования (гистероскопия, биопсия), лечение в зависимости от причины |
| Беременность, гиперэхогенное образование в матке | Гематома, хорионэпителиома, внематочная беременность (в редких случаях) | Консультация гинеколога, дополнительные исследования (УЗИ, анализ ХГЧ), лечение в зависимости от диагноза |
Интересные факты
Вот несколько интересных фактов о гиперэхогенных образованиях в матке:
-
Разнообразие причин: Гиперэхогенные образования могут быть вызваны различными факторами, включая миомы, полипы, эндометриоз или даже злокачественные опухоли. Это делает диагностику важным этапом, так как разные причины требуют различных подходов к лечению.
-
Ультразвуковая диагностика: Гиперэхогенные образования хорошо визуализируются на ультразвуковом исследовании, что позволяет врачам быстро оценить их характеристики. Ультразвук может помочь определить размер, форму и структуру образования, что важно для дальнейшего лечения.
-
Симптоматика и наблюдение: Многие гиперэхогенные образования могут не вызывать никаких симптомов и обнаруживаются случайно во время планового УЗИ. Однако в некоторых случаях они могут приводить к болям внизу живота, нарушениям менструального цикла или бесплодию, что требует более тщательного наблюдения и, возможно, вмешательства.
Если у вас есть гиперэхогенное образование, важно проконсультироваться с врачом для определения дальнейших шагов и возможного лечения.

Причины
Важно подчеркнуть, что гиперэхогенные образования в матке могут возникать по различным причинам. Для более точного определения ситуации в некоторых случаях целесообразно проводить комплексную диагностику. Это включает как инструментальные, так и лабораторные исследования.
ВМС
Наиболее высокой плотностью, преграждающей проникновение ультразвуковых волн, является внутриматочная спираль. Это – не патология. Однако достаточно велика вероятность возникновения осложнений. Среди них – перфорация матки, воспалительные процессы, а также излишне длительный менструальный цикл.
Эхографическое изображение самой распространенной Т-образной спирали на экране просматривается в виде линейного образования, если используется продольный метод сканирования. Поперечное расположение датчика дает изображение круглого включения. Оно имеет ровные края.
Петлевидная спираль Липпса на экране УЗИ дает изображение непрерывной линии при условии поперечного сканирования. Продольное расположение сканера сопровождается отдельными прерывистыми включениями.
Кроме уточнения расположения и состояния ВМС, УЗИ дает возможность выявить состояние окружающих ее тканей в матке.

Хроническая форма эндометрита
Заболевание возникает из-за гиперплазии эндометрия и может проявляться у женщин различных возрастных групп.
Ультразвуковое исследование может выявить различные формы патологии. К ним относятся:
- гиперэхогенное образование в матке размером от 2 до 6 мм с четкими границами;
- аналогичное по размеру образование, но с размытыми контурами;
- изменения в объеме (увеличение).
Утолщение стенок матки во время менструаций может наблюдаться до наступления климактерического периода.
Полипы
Характерным проявлением эндометрических полипов является изоэхогенная структура. Но наличие в них фибриновых нитей увеличивает эхоплотность включения. На экране они похожи на эндометрий. При поперечном методе сканирования отличаются от эндометрических включений ровными круглыми контурами.
Изображение полипов на экране УЗИ
Другие факторы
Гиперэхогенные образования в матке могут быть выявлены в следующих случаях:
- Гематометра. Это состояние характеризуется наличием кровяных сгустков, которые чаще всего возникают после операций или родов. Неоднородные образования могут напоминать остаточные элементы хориона, однако в отличие от них, сгустки смещаются относительно стенок матки и изменяют свою форму, чего не наблюдается у компонентов хориона.
- Воздушные пузырьки в полости матки. Они могут появляться после хирургического выскабливания, а также при хроническом эндометрите. Обычно обнаруживаются многочисленные мелкие образования с четкими границами, напоминающими кометные хвосты, которые видны за пузырьками.
- Остаточные ткани плода. Эхографические признаки зависят от срока прерывания беременности. Остатки хориона на УЗИ выглядят как разнородные вкрапления с повышенной эхоплотностью. При позднем прерывании беременности можно наблюдать четкие границы и наличие акустической тени.
- Воспаление швов после хирургического вмешательства. В этом случае отмечается утолщение инфильтрата, а также возможное образование налета, что приводит к повышению эхоплотности.
- Перфорация матки. На УЗИ можно увидеть толстый тяж (примерно 6 мм) без акустической тени. Длительный процесс может привести к развитию эндометрита с сопутствующими включениями.
Зоны гиперэхогенности реже всего встречаются при субмукозных миоматозных узлах и липомах.
Что касается миоматозных узлов, то они обычно имеют гипоэхогенные характеристики. Однако склонность узлов к дегенерации и наличие кальциевых элементов могут привести к появлению участков с высокой плотностью.
Липома
Новообразование – не злокачественное. Его состав – это жировые клетки. Отсутствие выраженных симптомов, а также проявление в основном в возрасте после 60-65 лет стали причиной ее редкого обнаружения.
Данное включение обнаруживается на экране небольшими вкраплениями, которым присуща контурная четкость.
Миома
Гиперэхогенность в матке, наблюдаемая при миоме, может свидетельствовать о прогрессировании заболевания или наличии кальцинатов. Эти образования выглядят как своеобразные включения.
Наиболее распространено наличие множественных миом, которые оказывают негативное воздействие на состояние матки, нарушая ее анатомическую структуру и изменяя положение полости.
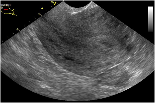
Миома на ультразвуковом исследовании
Особенности гиперэхогенности при беременности
Вполне объяснима ситуация, что во время вынашивания плода возникает гиперэхогенность маточных структур. Ведь за плотными структурами ультразвук не проводится. В этом случае наблюдается только темное пространство.
Это исключает возможность выявления состояния тканей располагающихся за структурами высокой плотности. Но способствует их определению в качестве исключительно плотных.
Плотность этой структуры тем плотнее, чем больше просматриваются теневые боковые очертания. Форма этого объекта просматривается слабо, не считая стороны, которая повернута к датчику.
После родов
Восстановительный период может быть связан с рядом отклонений, таких как:
- небольшие изменения в размерах матки;
- эндометрит;
- послеродовое кровотечение;
- наличие остатков плаценты или оболочек плода в маточной полости;
- значительное увеличение размеров матки.
Эти проявления могут быть выявлены при ультразвуковом исследовании, где наблюдаются гиперэхогенные симптомы, о которых говорилось ранее.
Ультразвуковое обследование после родов проводится для выявления отклонений от нормального состояния матки.
Что делать при обнаружении эхоплотности?
Выявление гиперэхогенных образований в маточной полости чаще всего говорит о наличии серьезных патологических процессов. Именно поэтому при их обнаружении рекомендуется дополнительное обследование. Его результаты станут основополагающими для проведения адекватного курса лечения.
Болевые ощущения, нарушение менструального цикла, другие дискомфортные проявления, связанные с гиперэхогенными включениями в матке, – сигнал о необходимости незамедлительного обращения к врачу.
Диагностика и методы исследования
Диагностика гиперэхогенного образования в матке начинается с тщательного сбора анамнеза и клинического обследования пациентки. Врач-гинеколог обращает внимание на наличие симптомов, таких как боли внизу живота, нарушения менструального цикла, а также любые другие жалобы, которые могут указывать на патологии репродуктивной системы.
Основным методом диагностики является ультразвуковое исследование (УЗИ) органов малого таза. УЗИ позволяет визуализировать матку и выявить наличие гиперэхогенных образований. Гиперэхогенные участки на УЗИ выглядят как светлые области, что указывает на их плотность и состав. Важно отметить, что гиперэхогенные образования могут быть как доброкачественными, так и злокачественными, поэтому дальнейшее обследование необходимо для уточнения диагноза.
В дополнение к УЗИ могут быть использованы и другие методы исследования. Например, магнитно-резонансная томография (МРТ) предоставляет более детальную информацию о структуре образования и его взаимосвязи с окружающими тканями. МРТ особенно полезна в случаях, когда УЗИ не дает достаточной информации для постановки диагноза.
Также может быть назначена гистероскопия — метод, при котором в полость матки вводится специальный инструмент с камерой, что позволяет визуально оценить состояние матки и, при необходимости, взять биопсию для дальнейшего гистологического исследования. Это особенно важно, если есть подозрение на злокачественное образование.
Лабораторные исследования, такие как анализ крови на онкомаркеры, могут помочь в оценке риска злокачественности образования. Однако следует помнить, что наличие гиперэхогенного образования не всегда означает наличие рака, и многие доброкачественные образования также могут проявляться подобным образом.
Важно, чтобы диагностика проводилась квалифицированным специалистом, который сможет правильно интерпретировать результаты исследований и назначить соответствующее лечение. В зависимости от характера образования и его влияния на здоровье пациентки, может быть рекомендовано наблюдение, медикаментозное лечение или хирургическое вмешательство.
Вопрос-ответ
Что такое гиперэхогенное образование в матке?
Гиперэхогенное образование в матке — это образование, которое на ультразвуковом исследовании (УЗИ) выглядит более ярким по сравнению с окружающими тканями. Это может указывать на наличие различных патологий, таких как миомы, полипы или даже злокачественные опухоли. Важно провести дополнительные исследования для точной диагностики.
Какие симптомы могут указывать на наличие гиперэхогенного образования?
Симптомы могут варьироваться в зависимости от природы образования. Некоторые женщины могут не испытывать никаких симптомов, в то время как другие могут жаловаться на боли внизу живота, аномальные менструальные кровотечения или проблемы с фертильностью. Если вы заметили какие-либо из этих признаков, рекомендуется обратиться к врачу для дальнейшего обследования.
Каковы шаги для диагностики и лечения гиперэхогенного образования?
Первым шагом является ультразвуковое исследование, которое поможет определить характер образования. В зависимости от результатов УЗИ, могут быть назначены дополнительные исследования, такие как МРТ или биопсия. Лечение зависит от диагноза и может варьироваться от наблюдения до хирургического вмешательства, если образование представляет угрозу для здоровья.
Советы
СОВЕТ №1
Обязательно проконсультируйтесь с врачом. Если у вас обнаружено гиперэхогенное образование в матке, важно получить профессиональную оценку состояния. Только специалист сможет правильно интерпретировать результаты УЗИ и назначить необходимые дополнительные исследования.
СОВЕТ №2
Следите за своим здоровьем и обращайте внимание на симптомы. Если вы заметили изменения в менструальном цикле, боли внизу живота или другие необычные симптомы, не откладывайте визит к врачу. Раннее выявление может значительно улучшить прогноз.
СОВЕТ №3
Изучите возможные причины гиперэхогенного образования. Это может быть связано с миомой, полипами или другими заболеваниями. Понимание возможных причин поможет вам лучше подготовиться к разговору с врачом и задать правильные вопросы.
СОВЕТ №4
Не бойтесь задавать вопросы. Если вам поставили диагноз, не стесняйтесь уточнять все детали: о возможных методах лечения, о том, как это может повлиять на вашу жизнь и здоровье. Чем больше информации вы получите, тем спокойнее будете себя чувствовать.


