Синехии в полости матки — патологические спайки, влияющие на репродуктивное здоровье женщины. Они возникают из-за воспалений, хирургических вмешательств или травм и могут привести к бесплодию и нарушениям менструального цикла. В статье рассмотрим причины синехий, их симптомы, методы диагностики и лечения, что поможет женщинам лучше понять свое состояние и принять решения о лечении.
Определение
Что такое синехии в маточной полости? Синехии – это медицинский термин, обозначающий спайки, которые представляют собой образования из неэластичной соединительной ткани. Они возникают в результате воспалительных процессов и могут стягивать органы, изменять их форму, а также перекрывать их просвет.
Часто в связи с этой темой упоминается диагноз, известный как Синдром Ашермана. Что это за заболевание? Это состояние, которое наблюдается исключительно у женщин и характеризуется образованием спаек (наличием синехий) в матке.
Синехии в полости матки представляют собой спайки, которые могут возникать в результате травм, воспалений или хирургических вмешательств. Эксперты подчеркивают, что данное состояние может привести к различным осложнениям, включая бесплодие и менструальные нарушения. Важно отметить, что диагностика синехий часто осуществляется с помощью гистероскопии, что позволяет не только выявить проблему, но и провести лечение. В большинстве случаев для устранения синехий применяется хирургическое вмешательство, после которого необходимо наблюдение и, возможно, гормональная терапия для предотвращения рецидивов. Специалисты рекомендуют женщинам, перенесшим операции на матке, регулярно проходить обследования для раннего выявления возможных осложнений.

Причины
Чаще всего такое состояние развивается в качестве осложнений после патологических и даже лечебных процессов. Среди них:
- Воспалительные процессы;
- Инфекционные процессы;
- Процессы с образованием экссудата;
- Хирургические вмешательства, чистки, аборты (если речь идет о матке и т. п.).
С технической точки зрения процесс образования спаек связан с тем, что пораженная в ходе патологического процесса или хирургического вмешательства ткань начинает заменяться другой. При таких процессах всегда образуется фиброзная соединительная ткань (она же формирует, например, шрамы и рубцы), которая не несет никаких функций.
| Симптом/Характеристика | Возможная причина синехий | Методы лечения/профилактики |
|---|---|---|
| Бесплодие | Воспалительные процессы в матке (эндометрит), послеродовые осложнения, аборты, хирургические вмешательства в полости матка | Хирургическое удаление синехий (гистероскопия), медикаментозная терапия (противовоспалительные препараты, гормональные средства), физиотерапия |
| Неправильные или скудные менструации | Травмы шейки матки, инфекции, воспалительные заболевания | Гистероскопия, медикаментозная терапия, восстановление гормонального баланса |
| Боли внизу живота | Спаечный процесс, воспаление | Хирургическое лечение, обезболивающие препараты, противовоспалительные средства |
| Задержка развития плода (при беременности) | Нарушение кровоснабжения плода из-за синехий | Хирургическое вмешательство (в зависимости от ситуации и срока беременности), наблюдение у врача |
| Выкидыши | Нарушение имплантации эмбриона | Хирургическое удаление синехий до планирования беременности, лечение сопутствующих заболеваний |
| Отсутствие симптомов (бессимптомное течение) | Часто выявляется случайно при обследовании | Регулярные профилактические осмотры у гинеколога |
Интересные факты
Синехии в полости матки, также известные как синдром Ашермана, представляют собой рубцовые изменения, которые могут возникать после травм или воспалений. Вот несколько интересных фактов об этом состоянии:
-
Причины возникновения: Синехии могут развиваться после хирургических вмешательств на матке, таких как выскабливание, кесарево сечение или лечение миомы. Также они могут быть следствием инфекций или воспалительных заболеваний, таких как эндометрит.
-
Симптомы и диагностика: Многие женщины с синехиями могут не испытывать никаких симптомов, что делает диагностику сложной. Однако, если они проявляются, это может быть связано с нарушениями менструального цикла, бесплодием или болями внизу живота. Для диагностики используются ультразвуковое исследование, гистероскопия и другие методы визуализации.
-
Лечение и восстановление: Лечение синехий обычно включает хирургическое вмешательство, такое как гистероскопия, во время которой врач удаляет рубцы. После операции может быть рекомендовано использование гормональных препаратов или внутриматочных устройств для предотвращения повторного образования синехий. Важно также учитывать, что восстановление может занять время, и в некоторых случаях может потребоваться несколько процедур для достижения желаемого результата.

Классификация
Этот патологический процесс можно разделить на несколько категорий. Существует несколько типов классификаций, которые основываются на тканевом составе синехий, их местоположении и степени развития процесса. Такая система классификаций помогает врачам более точно ориентироваться в ситуации и играет ключевую роль в выборе наиболее эффективного метода лечения.
По гистологии
Выделяется три типа синехий по тканевому составу. Они соответствуют трем стадиям синдрома.
- Легкая стадия характеризуется наличием спаек из эпителиальной ткани. Они тонкие и легко рассекаются;
- Средняя стадия характеризуется наличием более плотных, фиброзно-мышечных новообразований, плотно пророщенных к эндометрию. Рассекаются сложнее, кровоточат при повреждении;
- Тяжелая стадия выделяется тогда, когда синехии плотные, состоят из соединительной ткани и с трудом рассекаются.
В принципе, вылечить хирургически можно любую стадию, но объем и сложность вмешательства будут различны.
По распространенности
В данном случае речь идет о степени вовлеченности полости в патологический процесс.
- Первый тип подразумевает, что затронуто до 25% полости матки, при этом устья труб остаются нетронутыми;
- Второй тип определяется, когда вовлечено от 25 до 75% полости, устья затрагиваются незначительно, слипания стенок отсутствуют;
- Третий тип – более 75% полости вовлечены, устья затронуты, могут наблюдаться слипания стенок и деформация органа.
С точки зрения возможности беременности, любой из типов патологии нежелателен, однако при третьем типе вероятность зачатия крайне низка.
По степени поражения и закрытости полостей и просветов
Это международная классификация, которую использует ассоциация гинекологов-эндоскописотов. Согласно ей выделяются 6 стадий синдрома.
- I – тонкие пленки, разрушающиеся при контакте с гистероскопом;
- II – более плотные пленки, часто одиночные;
- II-а – локализация внутри маточного зева, когда верхние отделы не затронуты;
- III – плотные множественные участки, затронуты устья;
- IV – признаки третьей стадии дополняются частичной окклюзией полости;
- V – признаки всех остальных стадий, а также наличие рубцов на стенках.
Такая классификация используется только в контексте хирургического вмешательства.
Симптомы
Симптомы, указывающие на наличие синехий в матке, могут проявляться по-разному. Наиболее распространенным признаком является постоянная боль, которая чаще всего возникает при физической активности или в определенных позах. Также дискомфорт может ощущаться при полном мочевом пузыре и во время менструации. Болевые ощущения могут быть как острыми и резкими, так и ноющими, с высокой степенью интенсивности. Обычно они усиливаются при малоподвижном образе жизни, и в таких случаях могут возникать даже в состоянии покоя.
В зависимости от расположения синехий, могут возникнуть трудности с зачатием, вплоть до бесплодия, а также проблемы с мочеиспусканием. Возможны также затруднения в оттоке менструальной крови и нарушения в процессе дефекации.
Диагностика
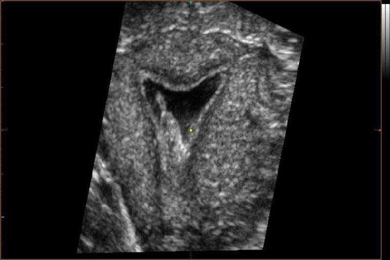
Синехии обладают отличной от других тканей матки плотностью, потому они легко визуализируются в ходе ультразвукового исследования. В ходе УЗИ можно определить как собственно место их расположения, так и степень закрытости ими органа, то насколько он деформирован и т. д.
Если необходимо в диагностических целях забрать ткани синехий на гистологию, то делается это в ходе гистероскопии. Этот же метод может применяться и для осмотра полости матки в диагностических целях (если нет препятствий для проникновения оборудования в ее полость).
Влияние на беременность
Синехии в маточной полости представляют собой серьезную проблему для женщин, ожидающих ребенка. Это связано с тем, что эти нерастяжимые соединения фактически фиксируют матку в неподвижном состоянии. В результате стенки матки находятся на постоянном расстоянии друг от друга. По мере роста плода орган должен увеличиваться и растягиваться, однако наличие спаек может вызывать сильные боли, гипертонус матки и, как следствие, выкидыши или аборты по медицинским показаниям. Игнорирование этой проблемы может привести к серьезным последствиям, вплоть до разрыва матки.
Кроме того, спайки могут располагаться так, что деформируют плод, создавая давление на него и ограничивая его развитие. В таких случаях разрешение беременности будет аналогичным описанному выше. Однако чаще всего наличие спаек затрудняет зачатие. Если они присутствуют в матке, плод может плохо прикрепляться, а если и удается закрепиться, то на ранних сроках могут происходить выкидыши. Проблемы могут возникать даже на этапе зачатия — цервикальный канал или фаллопиевы трубы могут быть заблокированы спайками.
Тем не менее, после удаления синехий можно планировать беременность. В зависимости от индивидуальных особенностей организма и объема проведенной операции, врачи обычно рекомендуют начинать попытки зачатия через полгода — год после удаления.
Терапия
Лечение данного состояния проводится несколькими способами и, чаще всего, комплексно, то есть применяется сразу несколько из них. Все методы можно разделить на две большие группы – радикальные и консервативные. Многое в выборе лечения зависит от того, где расположены спайки, какой они толщины, какой гистологический состав имеют.
Консервативная
Наиболее распространенными консервативными методами воздействия являются:
-
Гинекологический массаж. Этот метод особенно эффективен при наличии тонких спаек, которые имеют низкую эластичность и небольшой размер. Во время массажа происходит механическое растяжение спаек, что позволяет органу и его частям вернуться в нормальное физиологическое положение, открывая просветы. Таким образом, спайка остается на месте, но больше не вызывает дискомфорта. Однако этот метод не рекомендуется тем, кто планирует беременность, а также он менее эффективен при спайках в области маточных труб, шейки матки и других подобных местах;
-
Физиотерапия с использованием методов СВЧ и/или УВЧ также показана в тех же случаях, что и гинекологический массаж. Часто эти два метода применяются в комплексе. Воздействие микроволнового излучения способствует рассасыванию мелких спаек, а более крупные становятся более эластичными и лучше растягиваются во время массажа. Этот метод используется как дополнение к радикальному и консервативному лечению;
-
Лечебная гимнастика – это специально разработанный врачом лечебной физкультуры комплекс упражнений, направленный на постепенное растяжение мелких спаек, чтобы они не вызывали дискомфорта. По своему принципу действия этот метод схож с гинекологическим массажем. Он также имеет аналогичные показания, противопоказания и области применения. Чаще всего физиотерапия, гимнастика и массаж назначаются совместно при незначительной степени развития патологии.
Все перечисленные методы консервативной терапии применяются в комплексе при умеренной выраженности процесса. Они не подходят для тех, кто планирует беременность после удаления синехий в матке, так как фактически спайки не удаляются, а лишь становятся менее болезненными при текущем размере органа. Однако при увеличении матки они могут снова проявить себя. Исключением является физиотерапия – в редких случаях этот метод может способствовать полному рассасыванию мелких спаек, но чаще всего его эффективность недостаточна для полного излечения.
Радикальная
Радикальный способ лечения предполагает хирургическое вмешательство. Оно предполагает введение в матку скальпеля и непосредственное рассечение спаек. В некоторых случаях необходимо и их полное удаление. Такое вмешательство может иметь разный уровень тяжести в зависимости от того, каким методом оно выполнялось, а выбор метода, в свою очередь, зависит от особенностей строения матки, расположения в ней спаек, их размера и т.д.
Такое вмешательство почти никогда не проводится лапартомически, так как в большинстве случаев это бессмысленно, ведь в результате такой операции могут образоваться новые спайки. Иногда проводится лапароскопическим, когда через проколы в брюшной стенке и стенку матки диаметром 1,5 см вводятся микроинструменты и камера, и с помощью них проводится операция по изображению с камеры, появляющемуся на экране.
Наименее травматичный и наиболее желательный способ – гистероскопическое рассечение – в ходе него предполагается введение трубки гистероскопа в полость матки через цервикальный канал. Через трубку вводятся инструменты и камера и проводится вмешательство. Хотя этот методы предпочтителен, использовать его можно не при любом расположении спаек.
Такое рассечение синехий в матке, обычно, дополняется курсом физиотерапии. Также могут применяться и лечебная гимнастика, и гинекологический массаж на протяжении восстановительного периода и после него. Это делается для того, чтобы предотвратить образование новых, послеоперационных спаек, и стимулировать рассасывание тех небольших, которые могли остаться после операции.
Последствия
Что произойдет, если не начать лечение? Возможные последствия могут включать:
- Хронический болевой синдром;
- Нарушение функционирования соседних органов и систем;
- Изменение формы органа;
- Травмы и повреждения органа;
- Синехии в матке во время беременности могут привести к выкидышу или медицинскому аборту;
- Бесплодие.
Не все спайки вызывают такие осложнения, однако, если есть показания для удаления, игнорировать их не следует, даже если пациентка не планирует беременность.
Вывод
Синехии матки – достаточно серьезная проблема, и это состояние, которое требует лечения. Потому желательно своевременно обращаться к врачу при обнаружении у себя симптомов его наличия.

Профилактика
Синехии в полости матки являются важным аспектом женского здоровья, особенно для женщин, которые уже сталкивались с этой проблемой или имеют предрасположенность к ее возникновению. Синехии, или спайки, могут возникать в результате различных факторов, включая воспалительные процессы, хирургические вмешательства, а также гормональные нарушения. Чтобы минимизировать риск их появления, следует обратить внимание на несколько ключевых моментов.
Регулярные медицинские осмотры. Важно проходить плановые гинекологические обследования, которые помогут выявить возможные проблемы на ранних стадиях. Это включает в себя регулярные ультразвуковые исследования и мазки на флору, что позволяет контролировать состояние полости матки и выявлять воспалительные процессы.
Своевременное лечение воспалительных заболеваний. Инфекции и воспаления в области половых органов могут привести к образованию синехий. Поэтому важно не игнорировать симптомы, такие как боль, выделения или дискомфорт, и обращаться к врачу для назначения адекватного лечения. Антибиотикотерапия и противовоспалительные препараты могут помочь предотвратить развитие осложнений.
Избегание хирургических вмешательств без необходимости. Хирургические процедуры, такие как выскабливание или операции на матке, могут стать причиной образования синехий. Если есть возможность избежать операции, стоит рассмотреть альтернативные методы лечения. В случае необходимости хирургического вмешательства важно выбирать опытного специалиста и следовать всем рекомендациям по восстановлению.
Поддержание гормонального баланса. Гормональные нарушения могут способствовать образованию синехий. Регулярные консультации с эндокринологом и гинекологом помогут контролировать уровень гормонов и при необходимости корректировать его с помощью медикаментов или других методов.
Здоровый образ жизни. Правильное питание, регулярные физические нагрузки и отказ от вредных привычек способствуют укреплению иммунной системы и общему улучшению состояния организма. Это, в свою очередь, может снизить риск развития воспалительных процессов и синехий.
Образование и осведомленность. Знание о возможных рисках и симптомах синехий поможет женщинам своевременно реагировать на изменения в своем организме. Образовательные программы и семинары могут повысить уровень информированности и помочь в профилактике.
Следуя этим рекомендациям, женщины могут значительно снизить риск образования синехий в полости матки и сохранить свое репродуктивное здоровье. Важно помнить, что профилактика всегда проще и эффективнее, чем лечение уже возникших проблем.
Вопрос-ответ
Что такое синехии в полости матки и как они образуются?
Синехии в полости матки — это спайки или сращения, которые могут образовываться между стенками матки. Они часто возникают в результате травм, хирургических вмешательств, инфекций или воспалительных процессов. Эти спайки могут нарушать нормальное функционирование матки и приводить к различным гинекологическим проблемам, таким как бесплодие или аменорея.
Какие симптомы могут указывать на наличие синехий?
Синехии могут проявляться различными симптомами, однако в некоторых случаях они могут быть бессимптомными. Наиболее распространенные симптомы включают болезненные менструации, нерегулярные циклы, отсутствие менструаций и боли внизу живота. Если у вас есть подозрения на наличие синехий, важно обратиться к врачу для диагностики и лечения.
Какие методы лечения существуют для устранения синехий?
Лечение синехий может включать хирургическое вмешательство, такое как гистероскопия, при которой врач удаляет спайки с помощью специального инструмента. В некоторых случаях может быть назначена гормональная терапия для восстановления нормального функционирования матки. Важно, чтобы лечение проводилось под наблюдением квалифицированного специалиста, чтобы минимизировать риски и осложнения.
Советы
СОВЕТ №1
Регулярно проходите гинекологические осмотры. Это поможет выявить синехии на ранних стадиях и предотвратить возможные осложнения. Не забывайте сообщать врачу о любых изменениях в вашем менструальном цикле или болях в области таза.
СОВЕТ №2
Обратите внимание на свое здоровье после родов или абортов. Синехии могут развиваться после травмирования слизистой матки, поэтому важно следить за восстановлением и при необходимости обращаться к врачу для контроля состояния.
СОВЕТ №3
Изучите методы лечения синехий, такие как гистероскопия. Это минимально инвазивная процедура, которая позволяет удалить синехии и восстановить нормальную функцию матки. Обсудите с врачом все возможные варианты лечения и их последствия.
СОВЕТ №4
Поддерживайте здоровый образ жизни, включая правильное питание и физическую активность. Это поможет укрепить иммунную систему и снизить риск развития различных гинекологических заболеваний, включая синехии.


