УЗИ на овуляцию — важный диагностический метод для женщин, планирующих беременность. В статье рассмотрим, когда необходимо проводить УЗИ, какие данные оно предоставляет и как помогает в зачатии. Понимание этих аспектов позволит женщинам более осознанно подходить к планированию семьи и повысить шансы на успех.
Когда эффективнее всего делать мониторинг яичников на УЗИ?
Если вы решили пройти фолликулометрию, первым шагом будет консультация с гинекологом. Это необходимо для выявления возможных проблем, которые могут повлиять на развитие фолликулов. Специалист уточнит, каков ваш менструальный цикл, характер менструаций и есть ли какие-либо заболевания других женских органов. На основе полученной информации врач назначит дату для проведения УЗИ-мониторинга. Существует три периода, когда можно проводить исследование, в зависимости от особенностей цикла:
- При цикле в 28 дней без сбоев, фолликулометрию назначают на середину цикла, то есть на 9-10 день после начала менструации.
- Если цикл регулярный, но его продолжительность отличается от 28 дней, обследование следует проводить за 4-5 дней до середины цикла.
- В случае, если цикл нестабилен и менструации происходят непредсказуемо, УЗИ для определения овуляции выполняется на 3-4 день после окончания месячных.
Кроме того, в каких ситуациях врач может направить женщину на УЗИ яичников для точного определения даты овуляции? Это может быть необходимо при наличии сопутствующих заболеваний, которые мешают естественному зачатию:
- Дисменорея – нерегулярные менструации;
- Аменорея – полное отсутствие менструаций;
- Отсутствие овуляции во время менструаций;
- Бесплодие, если попытки зачатия продолжаются более двух лет;
- Гормональные нарушения в организме;
- Заболевания яичников.
Все эти факторы могут повлиять на выбор даты для мониторинга состояния яичников.
Эксперты в области репродуктивного здоровья подчеркивают важность ультразвукового исследования для определения овуляции в ряде случаев. Во-первых, УЗИ рекомендуется женщинам, испытывающим трудности с зачатием, чтобы точно установить время овуляции и оценить состояние фолликулов. Во-вторых, это исследование полезно при нерегулярном менструальном цикле, когда трудно предсказать овуляцию. Также УЗИ может быть назначено для мониторинга овуляции в рамках лечения бесплодия, особенно при использовании гормональной терапии. Наконец, если у женщины есть подозрения на поликистоз яичников или другие гормональные нарушения, УЗИ поможет выявить возможные проблемы и скорректировать лечение. Таким образом, УЗИ на овуляцию является важным инструментом для диагностики и планирования беременности.

Как происходит УЗИ для мониторинга овуляции?
После того, как доктор определил день для проведения процедуры, женщина приходит на УЗИ в свой день. Сама процедура довольно проста и безболезненная. УЗИ мониторинг яичников проводится тремя методами:
- Трансвагинально. Состояние фолликулов исследуется через влагалище. На особый датчик с камерой надевают презерватив и вводят во влагалище. Так спустя несколько минут доктор на экране видит состояние внутренних органов и фолликулов. Данная процедура не применяется у беременных, девственниц. Особой подготовки не требует, но все же желательно делать ее на пустой кишечник.
- Трансбдоминально. Это так называемое наружное УЗИ. На лобковую область наносят гель и водят по ней с помощью специального датчика. Результат прекрасно виден на экране монитора. Такой метод требует небольшой подготовки. Делать УЗИ следует на полный мочевой пузырь. Если сравнить этот метод с первым методом, то он менее информативен. Его обычно применяют к беременным и девственницам.
- Трансректально. Это метод мониторинга проводят по средствам введения датчика в задний проход. Так тоже можно исследовать яичники, но по сравнению с транвагинальным УЗИ, процедура болезненная и более неприятная. Применяют к пожилым пациенткам и девственницам.
Конечно, если женщина делает УЗИ с целью наступления беременности и контроля овуляции, то ей подойдет первый метод мониторинга. Проходить данную процедуру следует не один раз. Обычно производится 4 посещения с разницей в несколько дней.
- Первое УЗИ назначает доктор в зависимости от цикла. Возьмем средний цикл 28 дней, то есть фолликулометрия произойдет на 10 день цикла.
- Спустя 2-3 дня, то есть на 12-13 день, делают вторую процедуру, чтобы подтвердить присутствие роста желтого тела;
- Спустя еще 2 дня, то есть на 14 день цикла, происходит еще одна процедура. В это время овуляция должна скоро наступить.
- Еще через 3 дня, а именно на 17 день делают контрольную процедуру. Она показывает, произошел ли выход яйцеклетки. Если на этом этапе она так и не вышла, то доктор может посоветовать продолжение мониторинга на УЗИ до следующей менструации. Если в течение цикла овуляция так и не наблюдалась, то фолликулометрия продолжается на следующем цикле.
| Причина обращения к врачу | Необходимость УЗИ на овуляцию | Дополнительные исследования |
|---|---|---|
| Бесплодие (более 1 года попыток забеременеть) | Высокая | Анализ крови на гормоны, спермограмма партнера, гистеросальпингография |
| Неправильный менструальный цикл (ановуляция, нерегулярные месячные) | Высокая | Анализ крови на гормоны, базальная температура |
| Планирование беременности | Средняя | Анализ крови на гормоны, тесты на овуляцию |
| Диагностика причин боли внизу живота | Средняя | Анализ крови на инфекции, лапароскопия (в некоторых случаях) |
| Контроль эффективности лечения бесплодия | Высокая | Анализ крови на гормоны, мониторинг роста фолликулов |
| Подбор оптимального времени для ЭКО | Высокая | Анализ крови на гормоны, мониторинг роста фолликулов |
| Подозрение на кисты яичников | Средняя | Анализ крови на гормоны, маркеры опухолей |
Интересные факты
Вот несколько интересных фактов о том, в каких случаях необходимо делать УЗИ на овуляцию:
-
Проблемы с фертильностью: УЗИ на овуляцию часто назначается женщинам, которые испытывают трудности с зачатием. Это исследование помогает определить, происходит ли овуляция, и оценить состояние яичников и фаллопиевых труб.
-
Нерегулярный менструальный цикл: Если у женщины нерегулярные менструации, УЗИ может помочь установить, когда происходит овуляция. Это важно для планирования беременности или, наоборот, для предотвращения нежелательной беременности.
-
Мониторинг лечения: УЗИ на овуляцию также используется для мониторинга эффективности лечения бесплодия, например, при использовании гормональных препаратов. Это позволяет врачам корректировать дозировки и выбирать оптимальное время для зачатия.

Признаки овуляции на УЗИ
Как врач может определить, что овуляция состоялась? На экране ультразвукового аппарата появятся признаки, подтверждающие выход яйцеклетки.
- На третьем визите к специалисту были выявлены созревающие фолликулы;
- зафиксирован разрыв фолликула;
- за маткой было обнаружено скопление жидкости;
- после разрыва фолликула УЗИ показало увеличение желтого тела;
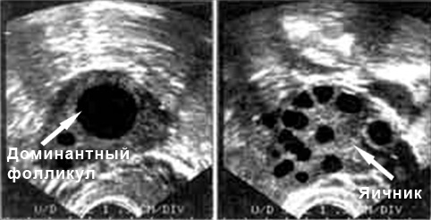
- отсутствие доминантного фолликула является одним из основных признаков овуляции.
Дополнительным свидетельством овуляции служит повышенный уровень прогестерона в крови. Женщина также может косвенно определить, что у нее происходит овуляция. Признаки могут включать:
- тянущую боль в области живота;
- вязкие выделения из влагалища;
- увеличение чувствительности молочных желез;
- изменения в вкусовых предпочтениях;
- усиление аппетита;
- частые перепады настроения.
Возможные нарушения
Бывает так, что при фолликулометрии доктор обнаруживает патологии, которые связаны с овуляцией. Например:
- Регрессия. Это процесс роста доминантного фолликула до конкретного размера. Однако в определенный момент рост остановился и пошел в обратную сторону. Овуляция так и не произошла.
- Перистенция – это нормальное развитие фолликула, но в определенный момент яйцеклетка не смогла разорвать фолликул и выйти наружу. В этом случае так же овуляции не будет.
- Фолликулярная киста. Это следствие перистенции. То есть фолликул созрел, яйцеклетка его не разорвала, и произошло накопление жидкости из-за целостного фолликула.
- Лютеинизация фолликула. Это образование желтого тела, но без разрыва фолликула. Данное явление происходит из-за гормонального сбоя либо плохой работе яичников.
- Фолликулов нет. На УЗИ доктор может обнаружить, что фолликулы совсем не развиваются. Конечно, в этом случае процесс овуляции невозможен.
При обнаружении таких отклонений, фолликулометрия для контроля зачатия откладывается на период, пока не будут устранены отклонения. Потом можно снова приступать к контролю зачатия.

Расшифровка результатов
Все результаты будет интерпретировать квалифицированный специалист. Он знает нормы показателей для каждого этапа цикла и анализирует отклонения от этих норм. Ниже представлены нормы, которые можно сопоставить со своими результатами, чтобы понять, есть ли проблемы с овуляцией.
- Фаза роста фолликула.
- 1-8 день: доминантный фолликул отсутствует;
- 8-12 день: на УЗИ он виден, размер составляет 10 мм;
- 12-14 день: размер достигает 15 мм;
- 14-15 день: это период перед овуляцией, когда фолликул достигает 21 мм.
- Овуляция:
- В фолликуле наблюдается яйценосный бугорок;
- Стенка фолликула утолщается;
- После овуляции фолликул больше не определяется;
- За маткой может быть немного жидкости.
- Лютеиновая фаза – это процесс формирования желтого тела. Если зачатие произошло, его размер составит 18 мм. Если он превышает 23 мм, это может указывать либо на беременность, либо на наличие фолликулярных кист.
- Менструация. На УЗИ видны небольшие фолликулы, которые едва достигают 8 мм.
Как видно, нормы показателей в яичниках варьируются в зависимости от фазы цикла. Для каждой фазы существуют свои стандарты. Они могут немного колебаться в зависимости от индивидуальных факторов, таких как вес и возраст. Однако в норме такие отклонения незначительны и близки к стандартам.
Таким образом, согласно вышеизложенному, УЗИ для определения овуляции является наиболее информативным методом для выявления овуляции и благоприятного времени для зачатия. Кроме того, эта процедура помогает выявить патологии в репродуктивной системе. Из недостатков некоторые считают, что проходить 4 УЗИ за цикл – это дорого и неудобно, особенно если беременность не наступила с первого цикла. Но разве не стоят эти неудобства той радости, которую приносит материнство?
Рекомендации по частоте и времени проведения УЗИ
Ультразвуковое исследование (УЗИ) на овуляцию является важным инструментом для оценки репродуктивного здоровья женщины. Частота и время проведения УЗИ зависят от различных факторов, включая индивидуальные особенности организма, наличие заболеваний и цели обследования.
В большинстве случаев УЗИ на овуляцию рекомендуется проводить в середине менструального цикла, когда вероятность обнаружения овуляции максимальна. Для женщин с регулярным менструальным циклом, который длится 28 дней, оптимальное время для УЗИ — это 12-16 день цикла. Однако для женщин с нерегулярными циклами или аменореей может потребоваться индивидуальный подход, и врач может рекомендовать проводить УЗИ в разные дни цикла.
Если женщина планирует беременность, УЗИ может быть рекомендовано для мониторинга овуляции в течение нескольких циклов. Это позволяет определить, происходит ли овуляция и какова ее регулярность. В таких случаях УЗИ может проводиться каждые 2-3 дня в период предполагаемой овуляции.
Кроме того, УЗИ на овуляцию может быть назначено в следующих случаях:
- При наличии проблем с фертильностью: Если пара испытывает трудности с зачатием, УЗИ может помочь выявить возможные причины, такие как отсутствие овуляции или наличие кист на яичниках.
- При гормональных нарушениях: Женщины с нарушениями менструального цикла или другими гормональными проблемами могут нуждаться в регулярном мониторинге овуляции для корректировки лечения.
- При использовании вспомогательных репродуктивных технологий: УЗИ часто используется в процессе инсеминации или экстракорпорального оплодотворения (ЭКО) для определения времени введения спермы или эмбрионов.
- При подозрении на патологии яичников: Если есть подозрения на наличие опухолей, кист или других заболеваний яичников, УЗИ может помочь в диагностике и мониторинге состояния.
Важно отметить, что решение о проведении УЗИ на овуляцию должно приниматься врачом на основе индивидуальных показаний и состояния здоровья женщины. Регулярные обследования помогут не только выявить проблемы, но и контролировать процесс овуляции, что особенно важно для женщин, планирующих беременность.
Вопрос-ответ
Когда стоит обратиться к врачу для назначения УЗИ на овуляцию?
Если у вас есть проблемы с менструальным циклом, такие как нерегулярные или болезненные менструации, или если вы пытаетесь забеременеть безуспешно в течение года, стоит обратиться к врачу. Специалист может назначить УЗИ для оценки овуляции и выявления возможных причин бесплодия.
Как часто нужно делать УЗИ для отслеживания овуляции?
Частота УЗИ зависит от индивидуальных обстоятельств. Обычно, если вы пытаетесь забеременеть, УЗИ может быть назначено в середине менструального цикла, чтобы определить время овуляции. В некоторых случаях может потребоваться несколько исследований в течение цикла для более точного мониторинга.
Какие признаки могут указывать на необходимость УЗИ для проверки овуляции?
Признаки, которые могут указывать на необходимость УЗИ, включают нерегулярные менструации, сильные боли внизу живота в определенные дни цикла, изменения в характере выделений или отсутствие беременности после года активных попыток. В таких случаях УЗИ может помочь выяснить, происходит ли овуляция и в каком состоянии находятся яичники.
Советы
СОВЕТ №1
Если вы планируете беременность, УЗИ на овуляцию может помочь определить наиболее благоприятные дни для зачатия. Это особенно полезно, если у вас нерегулярный менструальный цикл.
СОВЕТ №2
Обратите внимание на симптомы, такие как изменения в базальной температуре тела или выделениях из влагалища. Если вы замечаете аномалии, такие как отсутствие овуляции или слишком болезненные менструации, стоит обратиться к врачу для назначения УЗИ.
СОВЕТ №3
Если вы проходите лечение бесплодия или используете методы вспомогательной репродукции, УЗИ на овуляцию поможет контролировать реакцию ваших яичников на лечение и оптимизировать время для инсеминации или ЭКО.
СОВЕТ №4
Регулярные УЗИ могут быть полезны для женщин с эндометриозом или поликистозом яичников, так как они помогут отслеживать состояние яичников и выявлять возможные осложнения.

