Несостоятельность рубца на матке после кесарева сечения представляет серьезную угрозу для здоровья женщины и беременности. В статье рассмотрим основные причины и симптомы этого состояния, а также его опасности и последствия. Понимание рисков, связанных с несостоятельностью маточного рубца, поможет женщинам и медицинским специалистам принимать обоснованные решения и предпринимать меры для профилактики осложнений, что особенно важно при планировании последующих беременностей.
Что отличает нормальный рубец от несостоятельного?
У здорового рубца присутствует достаточное количество мышечной ткани и множество кровеносных сосудов. Он обладает эластичностью, хорошо сокращается и способен выдерживать значительные нагрузки. Это свойство позволяет избежать разрывов матки во время последующих беременностей и родов. В отличие от него, несостоятельный рубец содержит мало мышечной ткани и кровеносных сосудов, которые заменены соединительной тканью. Такой рубец неэластичен, плохо сокращается и легко поддается разрывам. В процессе беременности, когда матка увеличивается в размере, шов начинает истончаться, что в конечном итоге может привести к его разрыву.
Несостоятельность маточного рубца после кесарева сечения представляет собой серьезную проблему, которая может угрожать жизни как матери, так и ребенку. Эксперты подчеркивают, что основными факторами, способствующими этому состоянию, являются недостаточная техника операции, инфекции и индивидуальные особенности организма женщины. Важно отметить, что риск разрыва рубца возрастает при последующих беременностях, особенно если они происходят в короткие сроки после предыдущих родов. Для решения данной проблемы специалисты рекомендуют тщательное планирование беременности, регулярные обследования и мониторинг состояния рубца. Кроме того, использование современных методов визуализации, таких как ультразвуковое исследование, позволяет своевременно выявлять изменения и принимать необходимые меры. Обсуждение с врачом всех возможных рисков и вариантов родоразрешения также играет ключевую роль в обеспечении безопасности матери и ребенка.

Ярко выраженный (полный) несостоятельный рубец
Несостоятельность рубца можно считать ярко выраженной (полной), если:
- его толщина не превышает 1 мм;
- он практически полностью состоит из соединительной ткани;
- на нем много плохо сросшихся и утолщенных участков (так называемых лигатур), мини углублений, полостей и вмятин;
- на месте шва отчетливо видны не рассосавшиеся хирургические нити.
При выраженной несостоятельности врачи даже могут посоветовать женщине сделать аборт или постараться не беременеть, пока проблема не будет устранена.
| Симптом несостоятельности маточного рубца | Возможные причины | Методы диагностики и лечения |
|---|---|---|
| Боль внизу живота, усиливающаяся при физической нагрузке | Напряжение рубцовой ткани, истончение стенки матки, инфекция, многоплодная беременность, преждевременные роды, аномалии развития матки | УЗИ, МРТ, анализ крови (на инфекции), гистероскопия, тест на стресс |
| Кровотечение из влагалища (в разное время беременности или после родов) | Разрыв рубца, гематома в области рубца | УЗИ, гистероскопия, лапароскопия, кровь на свертываемость |
| Выпячивание рубца | Слабость рубцовой ткани, повышенное внутрибрюшное давление | УЗИ, МРТ, клинический осмотр |
| Появление выделений из влагалища (не связанных с менструацией) | Инфекция в области рубца | Анализ выделений, УЗИ, культуральные исследования |
| Ухудшение общего состояния (лихорадка, слабость) | Инфекция, воспаление | Анализ крови, УЗИ, лапароскопия |
| Преждевременное излитие околоплодных вод | Разрыв рубца | УЗИ, клинический осмотр |
| Повышенный тонус матки | Напряжение рубцовой ткани | УЗИ, клинический осмотр, КТГ |
Интересные факты
-
Риск разрыва матки: Одним из самых серьезных последствий несостоятельности маточного рубца после кесарева сечения является риск разрыва матки во время последующих родов. Это может привести к тяжелым осложнениям как для матери, так и для ребенка, включая необходимость экстренной операции и угрозу жизни.
-
Методы оценки состояния рубца: Для оценки состояния маточного рубца используются различные методы, включая ультразвуковое исследование и магнитно-резонансную томографию. Эти методы помогают врачам определить степень заживления рубца и риск его несостоятельности, что позволяет принимать более обоснованные решения о способе родоразрешения.
-
Профилактика и планирование родов: Важным аспектом решения проблемы несостоятельности маточного рубца является правильное планирование последующих беременностей и родов. Врачи рекомендуют проводить роды через кесарево сечение при наличии рубца, особенно если он был выполнен по классической методике, что снижает риск осложнений и обеспечивает безопасность как матери, так и ребенка.

Почему несостоятельность рубца возникает?
Несостоятельность шва после кесарева сечения может быть вызвана рядом факторов:
- Тип разреза, выполненного во время операции. Наиболее часто несостоятельность наблюдается при продольных разрезах, которые применяются в экстренных ситуациях, когда существует угроза жизни матери и ребенка. Поперечные нижние разрезы, как правило, реже становятся причиной несостоятельности.
- Различные осложнения в области живота, где были наложены швы после кесарева. Это могут быть свищи, воспалительные процессы, нагноения или разрывы.
- Некачественный материал, использованный для шва.
- Воспаление слизистой оболочки матки, известное как эндометрит. Инфекция, вызывающая это заболевание, может попасть в организм во время кесарева сечения.
- Повторные операции на матке. Это касается не только кесаревых сечений, но и поздних абортов, а также удаления опухолей различного характера.
- Новая беременность, наступившая всего через несколько лет после кесарева сечения.
У женщин с рубцом после кесарева сечения несостоятельность шва может быть спровоцирована даже ранними абортами, особенно если удаление зародыша происходило с помощью выскабливания.
Симптомы несостоятельности рубца
К сожалению, пока женщина не забеременеет, несостоятельность рубца обнаруживает себя редко. Чем больше становится эмбрион, тем сильнее растягиваются маточные стенки. Благодаря этому рубцовая несостоятельность становится «заметной», начинает проявлять себя рядом симптомов:
- в нижних отделах живота появляются болевые ощущения, которые отдают в область влагалища. Они похожи на судороги, накатывают как бы волнами;
- отчетливая болезненность, когда врач делает пальпацию в районе рубца;
- невозможность быстро и полностью освободить мочевой пузырь;
- сильная тошнота, частая рвота;
- низкое артериальное давление;
- общая слабость, частые беспричинные головокружения;
- внизу живота появляется колющая боль, когда женщина встает или садится, а также, когда занимается сексом;
- кровь после полового акта;
- матка остается «незрелой» при беременности на поздних сроках;
- хронический маточный гипертонус в период вынашивания малыша. Патология вызывает боли, которые напоминает родовые схватки;
- патологические изменения кардиотокографических (КТГ) показателей. У плода часто фиксируется пониженное сердцебиение (брадикардия). Также типично замедление его созревания (децелерация).
- плод чересчур активен – он «елозит» в чреве, сильно шевелится. При этом женщина отчетливо ощущает боль.
Что женщина ощущает, когда несостоятельный шов расходится?
При разрыве шва женщина испытывает резкую боль в области живота, которая по своей силе сопоставима с острыми почечными коликами, панкреатитом или аппендицитом.
В случае разрыва шва необходимо незамедлительно предоставить медицинскую помощь. В противном случае существует риск гибели как женщины, так и плода.
Чем несостоятельность рубца опасна?
Главная опасность – это, конечно же, маточный разрыв в период беременности или родов. Такое осложнение часто приводит к сильному кровотечению. Без помощи врачей и мать, и плод быстро погибают.
Также несостоятельный рубец на матке может привести к тому, что:
- В период беременности появится врастание плаценты – опасная патология, которая может привести к бездетности и даже удалению матки.
- У плода начнется гипоксия – он будет хронически недополучать кислород и питательные вещества. Осложнение может закончиться выкидышем, преждевременными родами, а также физическими и психическими аномалиями в развитии ребенка.
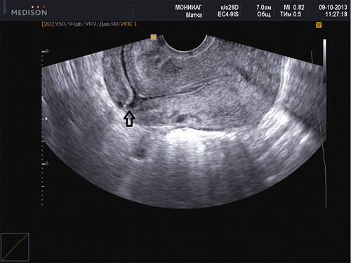
Методы диагностики
Ультразвуковое исследование (УЗИ) является ключевым методом для диагностики рубцовой недостаточности. В процессе проведения данного обследования специалист обращает внимание на следующие аспекты:
- общее состояние операционного шва;
- наличие пустот, вмятин, выпуклостей (лигатур) и мелких разрывов в области шва;
- толщину рубцовой ткани;
- возможные патологические изменения слизистой оболочки в месте наложения шва.
Кроме УЗИ, врач может рекомендовать проведение гистероскопии. Этот метод исследования подходит только для женщин, не находящихся в положении, так как он может представлять опасность для плода. Например, гистероскопия необходима в случаях, когда женщине требуется пластика рубца на матке после кесарева сечения.
Лечение
Способ лечения патологии зависит от того, какой поставлен диагноз:
- Частичная несостоятельность. При таком диагнозе врачи обычно предписывают женщине пройти дополнительные исследования. К примеру, ее могут направить на проверку проходимости маточных труб (гидросонографию), эхогистероскопию и магнитно-резонансную томографию.
- Полная несостоятельность. Если диагностика показала, что у женщины ярко выраженная (полная) несостоятельность рубца, ей следует срочно сделать операцию. Хирургическое вмешательство обычно открытое (лапаротомическое). Это связано с тем, что рубец находится под мочевым пузырем, поэтому закрытый (лапароскопический) вариант для хирурга неудобен и сопровождается чрезмерными кровопотерями. Цель такой операции – полностью иссечь (удалить) рубцовую ткань, а затем наложить швы и таким образом создать новый рубец. После подобной операции врачи не рекомендуют беременеть несколько лет.
Послеоперационный и восстановительный период
В первые недели после хирургического вмешательства медицинские специалисты рекомендуют:
- Проходить курс гормональной и антибактериальной терапии.
- Избегать контакта швов с водой. Это означает, что до их снятия нельзя принимать душ или ванну.
Кровянистые выделения из влагалища в течение первых нескольких недель после операции являются нормальным явлением.
Профилактические меры
Чтобы не стать бездетной, женщине, которой сделали кесарево:
- нежелательно беременеть в первые несколько лет после КС;
- ей также следует не реже раза в год с помощью УЗИ проверять, в каком состоянии находится ее маточный рубец.
В послеродовой период возрастает риск осложнений в связи с увеличением операций КС. Несостоятельный шов – наиболее известная патология, которая нередко оборачивается хирургическим вмешательством. Чтобы избежать повторной операции, женщине следует изучить характер возможных осложнений, не нарушать запреты, о которых предупредил доктор, и внимательно следить за своим состоянием.

Психологические аспекты и поддержка женщин с несостоятельностью рубца
Несостоятельность маточного рубца после кесарева сечения представляет собой серьезную проблему, которая может оказывать значительное влияние не только на физическое здоровье женщины, но и на ее психологическое состояние. Женщины, столкнувшиеся с этой ситуацией, часто испытывают широкий спектр эмоций, включая страх, тревогу и чувство вины. Понимание этих психологических аспектов является важным шагом к обеспечению необходимой поддержки и помощи.
Во-первых, важно отметить, что несостоятельность рубца может вызвать у женщины страх перед будущими беременностями и родами. Она может опасаться повторного кесарева сечения или, наоборот, попытки родить естественным путем, что может привести к серьезным осложнениям. Эти страхи могут быть усилены недостатком информации о состоянии своего здоровья и возможных рисках, связанных с беременностью после кесарева сечения.
Во-вторых, женщины могут испытывать чувство вины, особенно если они считают, что несостоятельность рубца является следствием их собственных действий или решений. Это может быть связано с тем, что они не следовали рекомендациям врачей или не уделяли должного внимания своему состоянию. Важно, чтобы медицинские работники помогали женщинам понять, что несостоятельность рубца может быть вызвана множеством факторов, и не всегда это связано с их поведением.
Поддержка со стороны близких и медицинских специалистов играет ключевую роль в преодолении психологических трудностей. Женщинам необходимо создать безопасное пространство для обсуждения своих страхов и переживаний. Это может включать в себя участие в группах поддержки, где они могут обмениваться опытом с другими женщинами, столкнувшимися с аналогичными проблемами. Психологическая помощь, включая консультации с психотерапевтом, может быть полезной для работы с тревожностью и страхами, связанными с будущими беременностями.
Кроме того, важно, чтобы врачи предоставляли женщинам полную информацию о состоянии их здоровья и возможных вариантах ведения беременности. Это поможет снизить уровень тревожности и даст возможность принимать обоснованные решения. Обсуждение всех возможных рисков и преимуществ различных подходов к родам может помочь женщинам чувствовать себя более уверенно и подготовленно.
В заключение, несостоятельность маточного рубца после кесарева сечения — это не только медицинская проблема, но и серьезный психологический вызов. Поддержка, понимание и информация являются ключевыми элементами в помощи женщинам, столкнувшимся с этой ситуацией. Создание благоприятной среды для обсуждения и поддержки может значительно улучшить качество жизни и эмоциональное состояние женщин, переживающих эту трудную ситуацию.
Вопрос-ответ
Что такое несостоятельность маточного рубца и как она возникает?
Несостоятельность маточного рубца — это состояние, при котором рубец на матке после кесарева сечения не выдерживает нагрузки во время беременности или родов, что может привести к разрыву матки. Это может произойти из-за недостаточной прочности рубца, неправильного заживления или чрезмерной нагрузки на матку в процессе беременности.
Какие симптомы могут указывать на несостоятельность маточного рубца?
Симптомы несостоятельности маточного рубца могут включать резкую боль в области рубца, кровотечение, а также изменения в сердечном ритме плода. Важно немедленно обратиться к врачу при появлении таких признаков, так как это может угрожать жизни как матери, так и ребенку.
Каковы методы профилактики и лечения данной проблемы?
Профилактика несостоятельности маточного рубца включает тщательное наблюдение за беременностью после кесарева сечения, соблюдение рекомендаций врача и избегание чрезмерных физических нагрузок. В случае выявления проблемы, лечение может включать оперативное вмешательство, такое как повторное кесарево сечение, или в некоторых случаях — консервативное наблюдение, в зависимости от степени тяжести состояния.
Советы
СОВЕТ №1
Регулярно проходите медицинские осмотры после кесарева сечения. Это поможет выявить возможные проблемы с маточным рубцом на ранних стадиях и предотвратить серьезные осложнения.
СОВЕТ №2
Обсудите с врачом возможность планирования следующей беременности. Если у вас есть история несостоятельности маточного рубца, важно учитывать это при принятии решения о дальнейшем деторождении.
СОВЕТ №3
Следите за своим состоянием и обращайте внимание на любые необычные симптомы, такие как сильные боли или кровотечения. Не стесняйтесь обращаться к врачу при возникновении тревожных признаков.
СОВЕТ №4
Изучите информацию о методах укрепления маточного рубца, таких как правильное питание и физическая активность. Здоровый образ жизни может способствовать лучшему восстановлению после кесарева сечения.


