Вопрос о возможности путаницы между кистой и беременностью на УЗИ требует внимательного анализа. Неверная диагностика может негативно сказаться на здоровье женщины и её эмоциональном состоянии. В статье рассмотрим основные признаки, отличающие кисту от беременности, и причины возможных ошибок в диагностике. Понимание этих аспектов поможет женщинам быть более информированными о гинекологическом здоровье.
Можно ли перепутать кисту с беременностью?
Часто начинающие гинекологи могут ошибочно воспринимать кисту яичника за желтое тело на ранних стадиях беременности. Это происходит из-за схожести симптомов, присущих обоим состояниям.
Эксперты в области ультразвуковой диагностики отмечают, что различие между кистой и беременностью на УЗИ может быть не всегда очевидным, особенно на ранних сроках. Кисты яичников, как правило, представляют собой заполненные жидкостью образования, которые могут иметь схожие характеристики с зародышем. Однако опытные специалисты способны различать эти состояния благодаря специфическим признакам. Например, наличие сердцебиения и эмбриональных структур указывает на беременность, тогда как киста не будет демонстрировать таких признаков. Тем не менее, в редких случаях, особенно при наличии сложных кист, может возникнуть путаница. Поэтому важно проводить дополнительные исследования и консультации с врачом для точной диагностики.

Признаки кисты
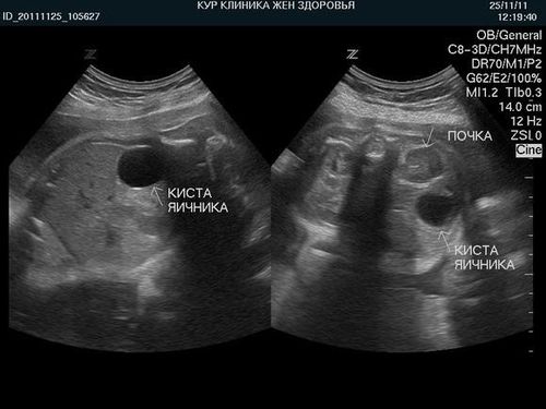
Киста – это доброкачественное новообразование на яичнике. Данное гинекологическое заболевание встречается довольно часто и в большинстве случаев носит гормональный характер. Часто женщины сталкиваются с функциональной кистой, которая образуется перед наступлением овуляции и самостоятельно исчезает с приходом критических дней. Другие разновидности опухоли обычно не проходят сами и нуждаются в постоянном наблюдении и лечении.
Независимо от типа кисты яичника наблюдаются следующие симптомы:
- болезненные ощущения в месте локализации опухоли;
- болезненность, дискомфорт во время полового акта;
- снижение (повышение) либидо;
- нарушение менструального цикла;
- ощущение тяжести, вздутие живота;
- мажущие выделения вместо нормальных месячных.
Дополнительно женщина может замечать у себя такие неспецифические признаки новообразования яичника:
- слабость;
- сонливость;
- головокружение;
- увеличение веса тела;
- повышенная жирность кожи и волос;
- скачки АД;
- акне на лице и подбородке.
По мере роста кисты начинают страдать соседние органы, вследствие чего отмечается учащенное мочеиспускание, диспепсические расстройства, одышка и боли в грудине.
| Признак | Киста яичника | Внематочная беременность | Внутриматочная беременность |
|---|---|---|---|
| Расположение | Яичник | Маточная труба, яичник (редко) | Матка |
| Форма | Округлая, овальная, неправильная | Может быть различной формы, часто трубчатая | Округлая (плодное яйцо), с развивающимся эмбрионом |
| Размер | Различный, от нескольких миллиметров до нескольких сантиметров | Может быть небольшим, но быстро увеличивается в размерах | Увеличивается с течением времени, виден эмбрион и сердцебиение (после определенного срока) |
| Структура | Однородная или неоднородная, может содержать жидкость или густую массу | Может содержать жидкость, гематому | Виден плодный мешок, желточный мешок, эмбрион (после определенного срока) |
| ХГЧ (хорионический гонадотропин человека) | Обычно низкий или нормальный | Может быть повышен, но ниже, чем ожидается для срока гестации | Повышен, соответствует сроку гестации |
| Симптомы | Часто бессимптомно, иногда боль внизу живота, нарушения менструального цикла | Сильная боль внизу живота, кровотечение | Тошнота, рвота, увеличение груди, задержка менструации |
Интересные факты
Вот несколько интересных фактов на тему “Можно ли перепутать кисту с беременностью на УЗИ?”:
-
Сходство визуальных признаков: На УЗИ кисты яичников и ранние стадии беременности могут выглядеть схоже, особенно если речь идет о функциональных кистах, которые могут иметь округлую форму и жидкостное содержимое. Это может привести к ошибочной интерпретации результатов, особенно у неопытных специалистов.
-
Дополнительные методы диагностики: Для более точного определения состояния используются дополнительные методы, такие как анализы на гормоны (например, ХГЧ) и более детальное УЗИ с использованием различных режимов (например, цветное допплеровское картирование), что помогает отличить кисту от беременности.
-
Клинические проявления: Кисты могут вызывать симптомы, схожие с ранними признаками беременности, такие как боли внизу живота или изменения в менструальном цикле. Это может усложнить диагностику и привести к путанице, особенно если женщина не знает о наличии кисты.

Признаки беременности
Главным признаком беременности считается отсутствие менструации. Кроме того, уже в первые дни после зачатия из-за гормональных изменений могут проявляться такие симптомы, как тошнота и рвота, а также различные выделения из влагалища и расстройства пищеварительной системы. О наступлении оплодотворения могут свидетельствовать следующие признаки:
- повышение базальной температуры;
- тянущие боли внизу живота;
- частое мочеиспускание;
- дискомфорт во время полового акта;
- изменения в половом влечении (как его снижение, так и увеличение);
- увеличение веса;
- проблемы со стулом;
- отечность и болезненность груди;
- повышенная усталость;
- сонливость;
- резкие изменения настроения.
Некоторые из этих симптомов могут напоминать проявления кисты яичника, что может привести к путанице на ранних сроках. Для точного подтверждения беременности рекомендуется сдать анализ крови на гормоны и пройти ультразвуковое исследование.
Почему можно перепутать беременность с кистой?
Специалисты принимают беременность за кисту не только по причине схожести клинических картин этих состояний. Иногда, даже после тщательной диагностики ставится ошибочный диагноз. Причины этого следующие:
- Изменение гормонального фона. Для того чтобы можно было благополучно выносить ребенка, при беременности в организме женщины происходит гормональная перестройка, обеспечивающая подходящие условия для развития эмбриона. Уже с первых недель врач может заподозрить зачатие по увеличенной матке и утолщенному эндометрию. Во многих случаях киста носит гормональный характер и также сопровождается подобными изменениями.
- Низкий уровень ХГЧ в крови у матери. В таком случае возникают трудности с визуализацией желтого тела даже с помощью вагинального УЗИ. Увеличившийся в размерах яичник тогда может приняться за кисту.
- Нечеткое новообразование. Некоторые типы кист сложно диагностировать на ранних стадиях, поэтому отекшая матка и увеличенный эндометрий могут восприниматься врачами как проявления беременности.
- Воспалительный процесс. Если киста сопровождается воспалением, то репродуктивные органы увеличиваются, происходит повышение базальной температуры. Эти признаки могут приняться за проявления беременности.
- Низкая квалификация специалиста.
- Использование старого или сломанного оборудования для диагностики.
Кистозное новообразование имеет вид небольшого отекшего шарика, который внешне схожий с плодным яйцом в первые недели после зачатия. Поэтому кисту яичника очень просто спутать с беременностью. Если возникли сомнения по поводу правильности постановки диагноза, то рекомендуется повторно пройти диагностику через пару недель.

С чем еще можно перепутать беременность?
Признаки беременности на ранних стадиях могут напоминать симптомы различных заболеваний. Первые знаки зачатия способны указывать на такие патологические состояния, как:
- воспалительные процессы;
- гинекологические заболевания;
- пищевые отравления;
- цистит;
- болезни желудочно-кишечного тракта.
Увеличение аппетита, повышенная раздражительность и чувствительность молочных желез также могут быть признаками гормонального дисбаланса. Для точного определения диагноза важно пройти полное обследование. На ультразвуковом исследовании беременность можно спутать с миомой матки и другими заболеваниями репродуктивной системы, которые также могут вызывать увеличение органов.
Заключение
Киста яичника и беременность имеют похожую симптоматику, из-за чего девушки часто путают эти 2 состояния. И даже после проведения гинекологического осмотра и ультразвукового исследования нередко ставится неверный диагноз. Для подтверждения врачебных выводов необходимо сдать анализ крови на гормоны и сделать повторное УЗИ через 1-2 недели.
Методы диагностики для различения кисты и беременности
Для точного различения кисты и беременности на УЗИ используются различные методы диагностики, которые позволяют врачам получить максимально полную информацию о состоянии органов репродуктивной системы. Основными методами являются трансвагинальное и трансабдоминальное ультразвуковое исследование, а также дополнительные лабораторные тесты.
Трансвагинальное УЗИ является наиболее информативным методом для диагностики заболеваний органов малого таза. Этот метод позволяет получить более четкое изображение яичников и матки, что особенно важно для выявления кист. При трансвагинальном УЗИ датчик вводится во влагалище, что обеспечивает близость к исследуемым органам и позволяет лучше визуализировать их структуру. Кисты обычно выглядят как однородные, заполненные жидкостью образования, которые могут иметь четкие или нечеткие границы.
Трансабдоминальное УЗИ также используется для диагностики, но его информативность ниже по сравнению с трансвагинальным методом. Этот подход включает в себя исследование через переднюю стенку живота, что может затруднить визуализацию мелких образований, таких как кисты. Тем не менее, трансабдоминальное УЗИ может быть полезным для оценки состояния матки и других органов, а также для выявления крупных кист.
Для более точной диагностики может быть рекомендовано лабораторное исследование. Например, анализ крови на уровень гормонов, таких как хорионический гонадотропин (ХГЧ), может помочь отличить беременность от кисты. При беременности уровень ХГЧ значительно повышается, тогда как при наличии кисты этот показатель остается в пределах нормы. Кроме того, анализ на уровень прогестерона и эстрогенов также может дать важную информацию о состоянии репродуктивной системы.
В некоторых случаях может потребоваться компьютерная томография (КТ) или магнитно-резонансная томография (МРТ) для более детального изучения образования. Эти методы позволяют получить трехмерные изображения органов и тканей, что может помочь в дифференциации между кистой и беременностью, особенно если УЗИ не дало однозначных результатов.
Важно отметить, что правильная интерпретация результатов УЗИ и других исследований требует высокой квалификации врача. Поэтому при наличии подозрений на кисту или беременность необходимо обратиться к специалисту, который сможет провести комплексное обследование и поставить точный диагноз.
Вопрос-ответ
Как можно отличить кисту от беременности на УЗИ?
На УЗИ киста обычно выглядит как однородное образование с четкими границами, заполненное жидкостью, тогда как беременность проявляется в виде эмбриона или плодного яйца с характерными признаками, такими как сердцебиение. Врач также может оценить уровень гормонов и другие клинические данные для более точной диагностики.
Какие симптомы могут указывать на кисту, а не на беременность?
Симптомы кисты могут включать боль внизу живота, нерегулярные менструации и дискомфорт во время полового акта. В отличие от беременности, при кисте обычно отсутствуют такие признаки, как задержка менструации или утренняя тошнота.
Может ли киста влиять на результаты теста на беременность?
Киста сама по себе не влияет на результаты теста на беременность, так как тесты определяют уровень гормона ХГЧ, который вырабатывается только при наличии беременности. Однако некоторые гормональные нарушения, связанные с кистами, могут вызывать ложноположительные или ложноотрицательные результаты, поэтому важно проконсультироваться с врачом.
Советы
СОВЕТ №1
Обязательно проконсультируйтесь с врачом после УЗИ. Если у вас есть сомнения относительно результатов, специалист сможет объяснить, как именно были получены данные и что они означают.
СОВЕТ №2
Обратите внимание на симптомы. Если у вас есть признаки беременности, такие как задержка менструации или изменения в организме, это может быть важным фактором для диагностики.
СОВЕТ №3
Не стесняйтесь задавать вопросы. Если вам что-то непонятно в результатах УЗИ, не бойтесь спрашивать врача о возможных различиях между кистой и беременностью.
СОВЕТ №4
Рассмотрите возможность повторного УЗИ. В некоторых случаях может потребоваться дополнительное исследование через несколько недель для более точной диагностики.


