Кондилома на слизистой шейки матки — вирусное образование, часто бессимптомное, но представляющее угрозу для женского здоровья. В статье рассмотрим причины возникновения кондилом, их симптомы, методы диагностики и эффективные способы лечения. Эти знания помогут женщинам распознать проблему и обратиться к врачу, что повысит шансы на успешное лечение и снизит риски для здоровья.
Что такое кондилома?
Это небольшие образования, которые располагаются на шейке матки и представляют собой доброкачественные наросты. Они могут напоминать бородавки или соцветия цветной капусты. Кондиломы прикрепляются к телу на тонкой и мягкой ножке, а также могут проявляться в виде пятен на слизистой оболочке.
Хотя кондиломы шейки матки не представляют прямой угрозы для здоровья и жизни женщин, важно их удалять, чтобы избежать риска перерождения в злокачественные опухоли. Для этого необходимо обратиться к гинекологу, который сможет выяснить причину появления кондиломы, определить ее тип и назначить соответствующее лечение.
Эксперты подчеркивают, что кондиломы на слизистой шейки матки являются результатом инфекции, вызванной вирусом папилломы человека (ВПЧ). Основными причинами их появления являются незащищенные половые контакты и наличие нескольких сексуальных партнеров. Симптомы могут варьироваться от отсутствия проявлений до появления видимых образований, что делает диагностику важным этапом. Врач может провести визуальный осмотр и назначить дополнительные исследования, такие как Пап-тест или биопсия. Лечение включает как местные препараты, так и хирургические методы удаления кондилом. Важно отметить, что регулярные обследования и вакцинация против ВПЧ могут значительно снизить риск возникновения данной патологии.

Причины возникновения
Основной причиной возникновения кондилом на шейке является вирус папилломы человека (ВПЧ). Известно более сотни разновидностей этого вируса, но не важно, какой именно вид спровоцировал появление опухоли, важно, чтобы она была доброкачественной.
В области гениталий и выше влагалища на шейке кондиломы возникают из-за попадания частиц вируса на слизистые оболочки органов. Также распространена передача болезни половым путем.
ВПЧ может долгое время находиться на слизистой женских репродуктивных органов. Но при снижении иммунных сил организма он начинает активно размножаться. Погибнуть после попадания на слизистую он чаще всего не может, так как имеет очень сильную защитную оболочку, на которую зачастую не способны подействовать железы вагины. Чтобы не размножался вирус, нужно следить за местным и общим иммунитетом, например, своевременно лечить воспалительные процессы в женских репродуктивных органах.
| Причина | Симптом | Диагностика/Лечение |
|---|---|---|
| Инфекция вирусом папилломы человека (ВПЧ) | Часто бессимптомно; может проявляться в виде сосочковых разрастаний, бородавок, эрозий на шейке матки. Кровотечения после полового акта или между менструациями. | Кольпоскопия, биопсия (при необходимости), цитологическое исследование (ПАП-тест), ПЦР-диагностика ВПЧ. Лечение: криодеструкция, лазерная коагуляция, электрокоагуляция, хирургическое иссечение, химиотерапия (подофиллотоксин, интерфероны). Выбор метода зависит от размера, локализации и количества кондилом, а также общего состояния здоровья пациентки. |
| Повреждение слизистой оболочки шейки матки | Возможно появление воспаления, отека, незначительных кровотечений. Кондиломы могут быть вторичным проявлением. | Кольпоскопия, исследование на инфекции, биопсия (при необходимости). Лечение направлено на устранение причины повреждения и симптоматическую терапию. |
| Иммунодефицитные состояния | Более выраженные и распространенные кондиломы, медленное заживление. | Общий анализ крови, иммунограмма, кольпоскопия, биопсия. Лечение направлено на коррекцию иммунитета и удаление кондилом. |
Интересные факты
Вот несколько интересных фактов о кондиломах на слизистой шейки матки:
-
Вирус папилломы человека (ВПЧ): Кондиломы на шейке матки вызываются определенными типами вируса папилломы человека, особенно типами 6 и 11. Эти типы ВПЧ считаются низкоонкогенными, но могут вызывать доброкачественные образования. В то же время, другие типы ВПЧ (например, 16 и 18) связаны с высоким риском развития рака шейки матки.
-
Бессимптомное течение: Многие женщины, инфицированные ВПЧ, могут не испытывать никаких симптомов и даже не подозревать о наличии кондилом. Это делает регулярные гинекологические осмотры и скрининг на ВПЧ особенно важными для раннего выявления и предотвращения возможных осложнений.
-
Методы лечения: Лечение кондилом на шейке матки может включать как местные методы (например, криотерапия, лазерное удаление), так и хирургические вмешательства. Однако важно отметить, что лечение не устраняет сам вирус, и поэтому регулярное наблюдение у врача необходимо для контроля состояния и предотвращения рецидивов.

Формы
Кондилома может проявляться в различных формах. Врач, основываясь на внешнем виде и результатах диагностики, подбирает индивидуальное лечение для каждого пациента.
Плоская кондилома
Плоская кондилома шейки матки – это доброкачественное образование, располагающееся на слизистой оболочке органа репродуктивной системы. Лечение требуется обязательно, так как его клетки могут перерождаться в раковые.
Особенностью этой формы является направленность образования вовнутрь. Кондилома растет не вовне, а внедряется в эпителий слизистой оболочки, как показано на фото. Различия в высоте по сравнению с эпителием шейки незначительны. Образование практически наравне с тканью органа. По этой причине при невнимательном осмотре его почти не видно. Это затягивает процесс диагностики и лечения, что очень опасно для здоровья женщины.
На поверхность эпителия кондилома выходит из более глубоких слоев. Такой процесс развития патологии свидетельствует о длительном присутствии вируса в организме пациентки.
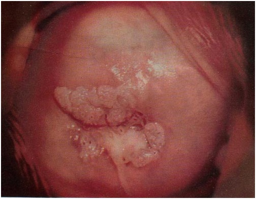
Остроконечные кондиломы шейки матки
Если плоские образования возникают при длительном присутствии вируса в организме, то остроконечные кондиломы свидетельствуют о остром течении вирусной инфекции. Эти бородавки имеют короткую ножку и могут как постоянно увеличиваться в размерах, так и появляться в виде отдельных “соцветий”. На слизистой оболочке они выглядят как бледно-розовые образования.
У женщин такие кондиломы вызывают постоянный дискомфорт. Они могут кровоточить, вызывать зуд в области половых органов и жжение. Эти образования растут на поверхности эпителия, не проникая глубоко в ткани. Они направлены наружу, что позволяет легко их обнаружить при гинекологическом осмотре.
Если не предпринимать меры по лечению таких наростов, они быстро распространяются на соседние ткани, например, могут появляться на слизистых оболочках наружных половых органов или вульве.
Кондиломы на поверхности шейки матки
Образования из-за папилломовируса человека могут возникать на разных органах репродуктивной системы женщины, но при их локализации именно на шейке матки ситуация более опасна для здоровья:
- их сложно вовремя диагностировать;
- лечение сложное, так как диагностика чаще всего происходит уже на поздних стадиях;
- может произойти малигнизация, то есть перерождение нормальных клеток в раковые;
- являются причиной нарушения нормального течения беременности и родов;
- часто становятся причиной бесплодия у пациенток;
- располагаясь на сверхчувствительной области к гормональным изменениям, кондиломы могут на фоне гормональных всплесков возрастать до больших размеров.
Симптомы и признаки
На начальных этапах развития заболевания женщина не испытывает никаких неприятных ощущений. Обнаружить кондиломы на ранней стадии можно только во время тщательного осмотра у врача. Порой для точной диагностики недостаточно лишь визуального осмотра, и специалист прибегает к дополнительным аппаратным методам, так как пациентка не испытывает дискомфорта.
Однако во время беременности или при запущенной форме заболевания эти образования могут вызывать не только дискомфорт, но и болезненные ощущения. Основные признаки кондилом на шейке матки включают:
- болезненность во время полового акта;
- незначительные кровотечения при травмировании;
- заметные изменения, если кондилома достигла значительных размеров;
- осложнения при беременности, которые могут затруднить процесс родов;
- визуальное выявление при осмотре гинекологом.
Опасность данной болезни заключается в том, что она может долгое время протекать бессимптомно. Женщина может узнать о наличии образований во время беременности, при плановом осмотре или в период активной половой жизни, когда она пытается забеременеть.
Кондилома может стать одной из причин женского бесплодия, так как она физически препятствует проникновению сперматозоидов в цервикальный канал.
Кровотечения во время родов могут возникать в результате травмы кондиломы. При прохождении малыша через родовые пути существует риск его заражения этим вирусом.
Диагностика
Диагностические мероприятия необходимы для определения объемов работы врача. Специалист определяет форму новообразования, ее величину, распространенность, наличие перерожденных клеток. Для качественного обследования необходимо:
- провести сбор анамнеза, где врач узнает о предыдущих болезнях, иммунном статусе женщины, очагах инфекции;
- осмотр специалист оценивает область поражения эпителиального слоя, его цвет, есть ли разрастания в другие органы, какой характер этих образований;
- обязательно берут мазок с поверхности слизистой оболочки шейки, клетки исследуют на наличие бактерий, а также смотрят их строение.
Для окончательного установления диагноза еще необходимо сделать анализ крови, мочи, информативным будет также мазок из влагалища.
Часто при таком поражении слизистой оболочки берут биопсию. Это хороший диагностический метод, который позволяет узнать о степени перерождения клеток, глубине поражения, наличии злокачественных клеток. Анализ помогает определить, какой именно тип вируса прогрессирует у пациентки. Это дает основание предполагать или отрицать развитие онкозаболевания.
Аппаратное исследование – кольпоскопия, помогает увидеть разрастание кондиломы, увеличенное в 40 раз.
Лечение
Лечение разрабатывается врачом, который формирует план терапии, основываясь на результатах анализов и других показателях. Основные рекомендации, касающиеся повседневной жизни пациентки:
- Ограничение интимных контактов для предотвращения повреждения новообразований.
- Питание остается без изменений;
- Применение медикаментов.
Лечение препаратами
Медикаменты помогают справиться с развитием болезни. Они замедляют процесс перерождения клеток, стимулируя иммунную систему женщины. Применяются сильнодействующие парентеральные средства, обладающие противовирусным, иммуномодулирующим действием.
Местно также применяются такие средства, как Подофиллин – мазь для слизистой оболочки шейки матки. Результатом применения является уменьшение кондилом в размерах и количестве.
Используется прижигание патологических областей 10%-ным раствором трихлоруксусной кислоты. Но нельзя злоупотреблять таким лечением, его можно делать один раз в неделю.
Пациенткам важно помнить, что долгое лечение кондилом – увеличение вероятности возникновения перерождения нормальных клеток в раковые.
Оперативное вмешательство
Хирургическое лечение данной болезни должно рассматриваться как последний вариант терапии. Оно необходимо в тех случаях, когда традиционные консервативные методы не дают ожидаемого эффекта. В процессе лечения применяются следующие методы:
- криодеструкция;
- лазерное выжигание;
- радиохирургия;
- озонотерапия;
- дарсонвализация;
- электрокоагуляция;
- хирургическое иссечение, удаление кондилом.
Народные средства
Новообразования можно дополнительно лечить народными средствами, ускоряя процесс восстановления тканей. Помогут в лечении следующие рецепты.
- Лук, вымоченный в уксусе, положить в марлю, приложить в виде тампона на ночь.
- Ежедневно несколько раз смазывать образования яичным белком.
- Смешать подорожник, крапиву, мелиссу, хвощ и одуванчик. Залить водой, прокипятить, настоять. Принимать по 1 маленькой ложке перед едой.
Профилактика осложнений
Многочисленные люди испытывают страх перед ВПЧ, поскольку известно, что этот вирус может стать причиной онкологических заболеваний. Для предотвращения заражения и развития инфекции была создана специальная вакцина, однако она пока не получила широкого распространения.
Существует возможность защититься от этого вируса. Для этого важно иметь постоянного сексуального партнера, соблюдать правила гигиены половых органов и регулярно проходить осмотр у гинеколога.
Вывод
Кондиломы шейки матки возникают из-за аутоиммунных процессов и действия извне. Диагностика болезни довольно трудна. Прогнозы благоприятные на ранних стадиях заболевания и при адекватном лечении.

Влияние кондилом на репродуктивное здоровье
Кондиломы, возникающие на слизистой шейки матки, могут оказывать значительное влияние на репродуктивное здоровье женщины. Эти доброкачественные новообразования, вызванные вирусом папилломы человека (ВПЧ), могут приводить к различным осложнениям, которые затрагивают как физическое, так и психоэмоциональное состояние пациентки.
Одним из основных рисков, связанных с кондиломами на шейке матки, является возможность их трансформации в злокачественные образования. Некоторые типы ВПЧ, особенно 16 и 18, ассоциированы с высоким риском развития рака шейки матки. Поэтому регулярные обследования и мониторинг состояния шейки матки у женщин с кондиломами являются крайне важными для раннего выявления предраковых изменений.
Кроме того, кондиломы могут вызывать физический дискомфорт, включая зуд, жжение и болезненные ощущения во время полового акта. Эти симптомы могут негативно сказаться на качестве интимной жизни, что, в свою очередь, может привести к психологическим проблемам, таким как тревога и депрессия.
Кондиломы также могут затруднять процесс зачатия. Хотя сами по себе они не являются прямой причиной бесплодия, наличие кондилом может указывать на общее состояние репродуктивного здоровья женщины и наличие других инфекций, которые могут влиять на фертильность. Например, сопутствующие инфекции, такие как хламидиоз или гонорея, могут вызывать воспалительные процессы в органах малого таза, что может привести к осложнениям, таким как сальпингит или эндометрит.
Важно отметить, что наличие кондилом не всегда означает, что женщина не сможет забеременеть. Однако, если планируется беременность, рекомендуется пройти полное обследование и, при необходимости, лечение, чтобы минимизировать риски для здоровья как матери, так и будущего ребенка.
В заключение, кондиломы на слизистой шейки матки могут оказывать серьезное влияние на репродуктивное здоровье женщины. Регулярные медицинские осмотры, своевременная диагностика и лечение являются ключевыми факторами для предотвращения возможных осложнений и сохранения репродуктивной функции.
Вопрос-ответ
Каковы основные причины появления кондилом на слизистой шейки матки?
Основной причиной появления кондилом на слизистой шейки матки является инфекция вирусом папилломы человека (ВПЧ). Этот вирус передается половым путем и может вызывать образование доброкачественных опухолей на слизистых оболочках. Некоторые типы ВПЧ могут также быть связаны с развитием рака шейки матки.
Какие симптомы могут указывать на наличие кондилом на шейке матки?
На ранних стадиях кондиломы могут не проявляться симптомами. Однако, если они увеличиваются в размере или количестве, могут возникнуть такие симптомы, как дискомфорт, зуд, кровянистые выделения после полового акта или изменения в менструальном цикле. Важно регулярно проходить гинекологические осмотры для раннего выявления.
Как проводится диагностика кондилом на шейке матки?
Диагностика кондилом включает в себя гинекологический осмотр, во время которого врач может заметить характерные образования. Для подтверждения диагноза могут быть использованы дополнительные методы, такие как Пап-тест (цитологическое исследование) и тест на ВПЧ, который позволяет определить наличие вируса и его тип.
Советы
СОВЕТ №1
Регулярно проходите гинекологические осмотры. Это поможет своевременно выявить любые изменения на слизистой шейки матки, включая наличие кондилом, и начать лечение на ранних стадиях.
СОВЕТ №2
Обратите внимание на симптомы. Если вы заметили необычные выделения, зуд или дискомфорт в области шейки матки, не откладывайте визит к врачу. Раннее обращение к специалисту может предотвратить развитие осложнений.
СОВЕТ №3
Изучите информацию о вакцинации против вируса папилломы человека (ВПЧ). Вакцинация может значительно снизить риск развития кондилом и других заболеваний, связанных с ВПЧ, поэтому обсудите этот вопрос с вашим врачом.
СОВЕТ №4
Соблюдайте меры предосторожности в интимной жизни. Использование презервативов может помочь снизить риск передачи ВПЧ и других инфекций, что особенно важно, если у вас есть несколько половых партнеров.


