Койлоцитоз шейки матки — это состояние, связанное с изменениями клеток эпителия шейки матки, часто вызванное инфекцией вирусом папилломы человека (ВПЧ). Это явление важно для женщин, так как может указывать на потенциальные риски для здоровья, включая предраковые изменения. В статье рассмотрим, что такое койлоцитоз, факторы его развития, а также методы диагностики и лечения, чтобы помочь женщинам принимать обоснованные решения о своем здоровье.
Определение
Вирус папилломы человека (ВПЧ) считается одной из главных причин возникновения рака репродуктивной системы у женщин. Папилломы, как правило, имеют склонность к перерождению в злокачественные опухоли, однако это касается не всех папиллом, а лишь тех, которые вызваны определёнными штаммами вируса. Поэтому при наличии папиллом крайне важно провести диагностику, чтобы определить, какой именно штамм стал причиной заболевания, и оценить уровень опасности процесса.
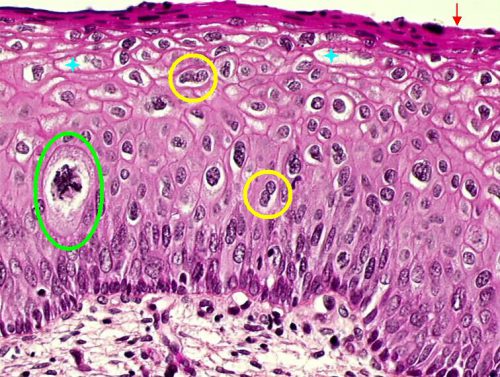
Койлоцитоз представляет собой изменения в клетках эпителия, вызванные вирусом папилломы человека. В этом состоянии в эпителии начинают появляться атипичные клетки, известные как койлоциты. При микроскопическом исследовании их можно легко распознать по следующим характеристикам:
- Увеличенные ядра;
- Ядра, значительно более тёмные по сравнению с другими эпителиальными клетками;
- Складчатая структура ядер;
- Специфическое свечение (гало) вокруг нуклеуса;
- Многоядерные клетки;
- Клеточные образования неправильной формы.
Эти и другие изменения происходят под воздействием вируса папилломы. Атипичные клетки могут располагаться как локально, так и диффузно, то есть более или менее равномерно. Важно отметить, что такие клетки появляются только в активной фазе вирусной инфекции. Если в анализах обнаруживается ВПЧ, но койлоциты отсутствуют, это свидетельствует о том, что вирус находится в латентной стадии.
Обнаружение таких изменённых клеток в ходе исследования служит основанием для классификации патологического процесса как предракового.
Койлоцитоз шейки матки представляет собой изменение клеток, вызванное инфекцией вирусом папилломы человека (ВПЧ). Эксперты подчеркивают, что это состояние часто является предшественником более серьезных заболеваний, таких как рак шейки матки. Важно отметить, что койлоцитоз может быть бессимптомным, что делает регулярные гинекологические осмотры и скрининг на ВПЧ особенно важными для женщин.
Лечение койлоцитоза зависит от степени изменений и наличия сопутствующих заболеваний. В большинстве случаев достаточно наблюдения и регулярного контроля. Однако, если изменения значительные, может потребоваться хирургическое вмешательство, такое как конизация шейки матки. Эксперты рекомендуют также вакцинацию против ВПЧ, которая может значительно снизить риск развития койлоцитоза и связанных с ним заболеваний. Важно помнить, что ранняя диагностика и адекватное лечение играют ключевую роль в успешном исходе.

Причины
Как уже было сказано выше, койлоцитоз не развивается как самостоятельное заболевание. Строго говоря, это состояние, которое является симптомом наличия вируса папилломы человека в активной стадии размножения, то есть, когда его клетки делятся. Причем, не любой формы этого вируса, а лишь определенных его штаммов. Таким образом, основной причиной койлоцитоза является ВПЧ.
По каким же причинам появляется ВПЧ?
- Это вирусное заболевание, потому заразиться им можно только извне, наиболее частый путь – это незащищенный половой акт;
- Кроме того, в значительно более редких случаях, заражение может произойти в результате использования нестерильных инструментов при осмотре или хирургическом вмешательстве в гинекологии (но такие причины, так же как и заражение бытовым путем – редчайшее исключение, так как в большинстве случаев данный вирус гибнет при контакте с воздухом);
- В нормальных условиях иммунная система организма способна подавлять вирусы, но при сниженном иммунитете (в результате инфекционных, воспалительных заболеваний, хирургических вмешательств) она сделать это неспособна;
- То же самое происходит и при сниженном местном иммунитете тканей, нарушенной микрофлоре, так как сильная микрофлора также способна подавлять деление вирусных агентов.
Если же иммунитет не справился с нагрузкой, то после попадания на слизистые, ничем не подавляемый вирус начинает размножаться. При этом он распространяется как вглубь тканей, так и по их площади. Его деятельность и вызывает изменения, в результате которых формируются койлоциты.
| Стадия койлоцитоза | Характерные изменения клеток | Методы лечения |
|---|---|---|
| Легкая (CIN I) | Небольшие изменения в форме и размере клеток, ядра относительно небольшие. | Наблюдение, кольпоскопия, противовирусная терапия (в случае наличия ВПЧ), иммуномодуляторы. |
| Умеренная (CIN II) | Более выраженные изменения в форме и размере клеток, ядра увеличены, хроматин грубый. | Кольпоскопия, прицельная биопсия, консервативное лечение (лазерная вапоризация, криодеструкция, радиоволновая хирургия). |
| Тяжелая (CIN III) | Выраженные изменения в форме и размере клеток, большие гиперхромные ядра, атипичные митозы. Почти полная потеря клеточной дифференцировки. | Кольпоскопия, прицельная биопсия, консервативное лечение (лазерная вапоризация, криодеструкция, радиоволновая хирургия), хирургическое лечение (конизация шейки матки). |
Интересные факты
Койлоцитоз шейки матки — это состояние, связанное с изменениями клеток шейки матки, часто вызванными вирусом папилломы человека (ВПЧ). Вот несколько интересных фактов об этом состоянии:
-
Связь с ВПЧ: Койлоцитоз является маркером инфекции ВПЧ, который является одним из самых распространенных вирусов, передающихся половым путем. Большинство случаев койлоцитоза связано с высокоонкогенными типами ВПЧ, что делает регулярные обследования шейки матки особенно важными для раннего выявления предраковых изменений.
-
Диагностика и скрининг: Койлоцитоз обычно выявляется при проведении пап-теста (цитологического исследования), который позволяет обнаружить аномальные клетки на ранних стадиях. Это подчеркивает важность регулярных гинекологических осмотров для женщин, особенно тех, кто находится в группе риска.
-
Лечение и наблюдение: В большинстве случаев койлоцитоз не требует специфического лечения, так как изменения могут регрессировать самостоятельно. Однако, если обнаруживаются более серьезные изменения, такие как дисплазия, может потребоваться более активное вмешательство, включая конизацию шейки матки или другие процедуры. Важно также следить за состоянием и проходить регулярные обследования для предотвращения развития рака шейки матки.

Симптомы
В большинстве случаев койлоциты, находящиеся в шейке матки, не проявляют себя. Они не вызывают серьезных специфических симптомов. Это также относится к вирусу папилломы человека, который в большинстве случаев не проявляется ни субъективно, ни визуально. Тем не менее, иногда ВПЧ может проявляться не специфическим образом. В таких случаях могут возникать следующие симптомы:
- Появление новообразований – папиллом или бородавок, как в единичном, так и в множественном числе;
- Дискомфорт во время полового акта в некоторых ситуациях;
- Неприятные ощущения в нижней части живота;
- Увеличение симптомов предменструального синдрома.
Однако чаще всего данное состояние выявляется случайно, во время профилактического осмотра или при обращении к врачу по другим причинам. Если обнаруживаются папилломы, то проводится исследование тканей эпителия, в ходе которого можно выявить наличие койлоцитов.
Диагностика
Как же диагностировать это состояние? Применяются следующие методы:
- Общий и биохимический анализы крови, общеклинический анализ мочи, коагулограмма, реакция Вассермана и другие неспецифические исследования для установления общего состояния организма;
- Исследования крови на заболевания, передающиеся половым путем – на ВИЧ, сифилис, гепатит С и так далее;
- Исследование на половые инфекции: бактериологический посев отделяемого половых путей, ПЦР-исследование мазка на все типы инфекций, в том числе на все штаммы и типы ВПЧ;
- Цитологическое исследование тканей шейки матки;
- Визуальные методы исследования, которые помогают установить наличие и размер папиллом – кольпоскопия, цервикоскопия, вульвоскопия;
- Гистологическое исследование участка тканей, который забирается под контролем кольпоскопии. Такое исследование позволяет непосредственно установить наличие изменений и присутствие (либо отсутствие) атипичных клеток.
Диагностика такими методами будет полной и достаточной для того, чтобы оценить состояние здоровья пациентки и степень развития патологического процесса. Но в исключительно сложных (с точки зрения диагностики) случаях может дополнительно назначаться МРК и КТ.
Влияние на беременность
Наличие вируса папилломы человека (ВПЧ) обычно не является препятствием для зачатия. В большинстве случаев присутствие койлоцитов в эпителии не влияет на шансы на беременность, за исключением ситуаций, когда крупные папилломы закрывают шейку матки, мешая проникновению сперматозоидов, или их слишком много, что затрудняет прикрепление эмбриона. В целом, умеренная степень койлоцитоза и ВПЧ не снижает фертильность.
Кроме того, данная патология не оказывает влияния на процесс вынашивания. Вирус не вызывает никаких аномалий или пороков развития у плода, не приводит к осложнениям во время беременности, не вызывает преждевременные роды и не способствует выкидышам. У женщин с ВПЧ процент успешного вынашивания и родов такой же высокий, как и у тех, кто не имеет этого заболевания.
Родовая деятельность может осложниться только в случае наличия папиллом на шейке матки. В такой ситуации могут возникнуть трудности с раскрытием шейки, а также возможны кровотечения. Наибольшую опасность представляет влияние беременности на само заболевание. Снижение местного иммунитета после родов может привести к активизации патологического процесса.
Терапия
При наличии изменений показано хирургическое лечение. Наиболее эффективных методов два:
- Конизация шейки матки – отсечение ее пораженного участка. Метод хорош тем, что малотравматичен. Однако при таком подходе удаляется достаточно небольшой участок тканей, потому есть вероятность, что койлоциты присутствуют где-то еще, потому достаточно быстро может начаться рецидив. Кроме того, метод хорош только при локализованном очаговом размещении зон с измененными клетками;
- Более эффективный способ – ампутация. Что это такое? Это процесс полного удаления шейки матки. Метод хорош тем, что с большой долей вероятности удаляет все пораженные клетки, благодаря чему вероятность рецидивов после такого вмешательства значительно ниже. Но такое вмешательство и более травматичное, восстановительный период после него немного дольше.
Хирургическое лечение дополняется приемом иммуностимулирующих препаратов. Это препараты, действующие на весь организм, такие как Ликопид, так и местные препараты, например, Виферон. Параллельно с эти назначаются и противовирусные препараты, такие как Изопринозин, Циклоферон, Панавир. В течение нескольких дней после хирургического вмешательства могут быть показаны к приему антибиотики и/или противовоспалительные средства во избежание присоединения инфекции.
Профилактика осложнений
Чтобы предотвратить возникновение осложнений после процедуры, придерживайтесь следующих рекомендаций:
- Начинайте легкие физические нагрузки уже на следующий день после вмешательства;
- Избегайте поднятия тяжестей, курения, употребления алкоголя, а также жирной, жареной и копченой пищи;
- Обязательно принимайте лекарства, прописанные вашим врачом.
Также следуйте другим индивидуальным указаниям, которые дал вам специалист.
Последствия
Наиболее неприятные осложнения после такого вмешательства – это присоединение инфекционного и/или воспалительного процесса, образование спаек, кровотечения. Сама же болезнь опасна вероятностью рецидива и перерождением в онкологический процесс. Потому важно тщательно соблюдать рекомендации врача в восстановительном периоде во избежание этого.
Вывод
Как было упомянуто ранее, койлоцитоз является признаком серьезного заболевания, поэтому при выявлении таких клеток необходимо сразу же приступать к лечению. В противном случае могут возникнуть серьезные осложнения, включая онкологические процессы, которые сложно поддаются терапии и имеют неблагоприятный прогноз.

Связь с другими заболеваниями
Койлоцитоз шейки матки часто ассоциируется с другими заболеваниями и состояниями, что делает его важным объектом для изучения в гинекологии. Одним из наиболее значимых факторов, связанных с койлоцитозом, является инфекция вирусом папилломы человека (ВПЧ). Этот вирус является основным виновником развития предраковых и раковых заболеваний шейки матки. Койлоцитоз, как правило, возникает в результате воздействия ВПЧ на эпителий шейки матки, что приводит к изменениям в клетках, которые можно обнаружить при цитологическом исследовании.
Кроме ВПЧ, койлоцитоз может быть связан с другими инфекциями, передающимися половым путем, такими как хламидиоз и гонорея. Эти инфекции могут вызывать воспалительные процессы, которые, в свою очередь, могут способствовать развитию койлоцитоза. Важно отметить, что наличие койлоцитоза не всегда указывает на наличие ВПЧ, но его присутствие требует внимательного наблюдения и дальнейшего обследования.
Также стоит упомянуть о связи койлоцитоза с состояниями, связанными с иммунодефицитом. У женщин с ослабленной иммунной системой, например, у ВИЧ-позитивных пациенток, риск развития койлоцитоза и других аномалий шейки матки значительно возрастает. Это связано с тем, что ослабленный иммунитет не может эффективно бороться с инфекциями, включая ВПЧ, что приводит к более выраженным изменениям в клетках шейки матки.
Койлоцитоз может также быть связан с гормональными изменениями, особенно в период беременности. Изменения в уровне гормонов могут влиять на состояние клеток шейки матки и способствовать развитию койлоцитоза. Поэтому важно учитывать гормональный фон пациентки при диагностике и лечении этого состояния.
В заключение, койлоцитоз шейки матки не является изолированным заболеванием, а часто выступает в качестве маркера других патологий. Его связь с ВПЧ, инфекциями, иммунодефицитом и гормональными изменениями подчеркивает необходимость комплексного подхода к диагностике и лечению. Регулярные гинекологические осмотры и скрининги на ВПЧ могут помочь в раннем выявлении койлоцитоза и связанных с ним заболеваний, что, в свою очередь, способствует более эффективному лечению и профилактике серьезных осложнений.
Вопрос-ответ
Что такое койлоцитоз и как он возникает?
Койлоцитоз — это состояние, характеризующееся изменениями клеток шейки матки, вызванными инфекцией вирусом папилломы человека (ВПЧ). Эти изменения могут быть обнаружены при цитологическом исследовании. Койлоциты — это аномальные клетки, которые имеют характерные признаки, такие как увеличенное ядро и измененная цитоплазма. Основной причиной возникновения койлоцитоза является инфекция ВПЧ, которая передается половым путем.
Как диагностируется койлоцитоз шейки матки?
Диагностика койлоцитоза обычно начинается с проведения Пап-теста (цитологического исследования), который позволяет выявить аномальные клетки на шейке матки. Если результаты теста показывают наличие койлоцитов, может быть рекомендовано проведение дополнительных исследований, таких как кольпоскопия, для более детального изучения состояния шейки матки и исключения других заболеваний.
Какие методы лечения применяются при койлоцитозе?
Лечение койлоцитоза зависит от степени изменений и наличия других факторов. В большинстве случаев, если изменения незначительные и нет признаков рака, врачи могут рекомендовать регулярное наблюдение и повторные тесты. Если же выявлены более серьезные изменения, могут быть предложены процедуры, такие как конизация или лазерная терапия, для удаления аномальных клеток. Важно также следить за состоянием и при необходимости проводить вакцинацию против ВПЧ.
Советы
СОВЕТ №1
Регулярно проходите гинекологические осмотры. Ранняя диагностика койлоцитоза может значительно повысить эффективность лечения и снизить риск развития осложнений.
СОВЕТ №2
Обратите внимание на симптомы, такие как необычные выделения или боли в области таза. Если вы заметили что-то необычное, не откладывайте визит к врачу.
СОВЕТ №3
Следите за своим иммунитетом. Здоровый образ жизни, включая правильное питание, физическую активность и отказ от вредных привычек, может помочь организму справиться с вирусами и снизить риск развития койлоцитоза.
СОВЕТ №4
Обсудите с врачом возможность вакцинации против вируса папилломы человека (ВПЧ). Это может помочь предотвратить инфекции, которые могут привести к койлоцитозу и другим заболеваниям шейки матки.


