Миома матки — распространенное доброкачественное новообразование у женщин. Своевременная диагностика важна для выбора лечения. Ультразвуковое исследование (УЗИ) — основной метод для выявления миомы, оценки ее размеров и расположения, а также исключения других патологий. В статье рассмотрим диагностику миомы на УЗИ, включая трансвагинальные и трансабдоминальные методы, противопоказания и распространенные ошибки в процессе диагностики. Эта информация полезна как пациентам, так и медицинским специалистам для повышения качества диагностики и лечения миомы матки.
Особенности процедуры
УЗИ, или ультразвуковое исследование, также известно как сонография. Этот метод позволяет проводить обследование органов и мягких тканей человека с использованием ультразвуковых волн. Эти волны генерируются специальным датчиком. Благодаря различной проницаемости тканей, на экране УЗИ-аппарата формируется контрастное изображение исследуемого органа.
Анализируя полученные данные, врач может определить наличие опухолей, а также воспалительных процессов. Таким образом, устанавливается диагноз. Метод обладает высокой информативностью и точностью, однако его эффективность также зависит от уровня квалификации специалиста.
Диагностика миомы на УЗИ является важным этапом в выявлении и оценке состояния этого доброкачественного образования. Эксперты отмечают, что ультразвуковое исследование позволяет не только обнаружить миому, но и определить её размер, количество и расположение. В процессе обследования используется трансабдоминальный или трансвагинальный подход, что обеспечивает высокую точность результатов. Специалисты подчеркивают, что УЗИ помогает отличить миому от других патологий, таких как кисты или опухоли яичников. Кроме того, важно учитывать, что регулярные УЗИ-обследования позволяют отслеживать динамику роста миомы и принимать своевременные решения о необходимости лечения. Таким образом, УЗИ остается основным и надежным методом диагностики миомы, обеспечивая врачей необходимой информацией для дальнейшего ведения пациенток.

Методы
В разных случаях могут использоваться разные способы проведения ультразвукового исследования. Это зависит от предполагаемого (или фактического) расположения миомы. Также значение имеет анатомия пациентки, состояние ее здоровья. На выбор метода влияют и некоторые иные факторы. Чаще всего миома на УЗИ диагностируется одним из трех способов.
| Признак на УЗИ | Описание признака | Заключение о миоме матки |
|---|---|---|
| Гипоэхогенный узел в миометрии | Узел темнее окружающих тканей на УЗИ-изображении | Вероятная миома матки |
| Гиперэхогенный узел в миометрии | Узел светлее окружающих тканей на УЗИ-изображении (часто с акустической тенью) | Возможно, миома матки с кальцификатами или фиброзными изменениями |
| Хорошо очерченный узел с ровными контурами | Четко видимые границы узла | Характерно для миомы матки |
| Узел с неровными контурами | Нечеткие границы узла | Возможно, миома матки с признаками злокачественного перерождения (требует дополнительного обследования) |
| Изменение размера матки | Увеличение размера матки, не соответствующее сроку менструального цикла | Возможно, наличие множественных миом |
| Искажение контуров матки | Деформация формы матки | Наличие субсерозных или интрамуральных миом |
| Наличие сосудистой сети в узле | Визуализация кровотока в узле с помощью допплерографии | Подтверждает наличие миомы матки |
| Локализация узла | Субсерозная (под серозной оболочкой), интрамуральная (в толще миометрия), субмукозная (под эндометрием) | Определяет тип миомы и возможную симптоматику |
| Размер узла | Измеряется в трех измерениях (длина, ширина, высота) | Определяет размер миомы и необходимость лечения |
Интересные факты
Вот несколько интересных фактов о диагностике миомы на УЗИ:
-
Типы УЗИ: Миомы матки могут быть диагностированы с помощью различных методов ультразвукового исследования, включая трансабдоминальное (через живот) и трансвагинальное (через влагалище) УЗИ. Трансвагинальное УЗИ часто дает более четкое изображение, что позволяет лучше оценить размеры и расположение миомы.
-
Эхогенность миомы: На УЗИ миомы могут иметь различную эхогенность в зависимости от их структуры и состава. Например, миомы могут выглядеть как гипоэхогенные (темные) образования на фоне более светлой ткани матки, что помогает врачам отличать их от других образований.
-
Допплерография: Современные УЗИ-аппараты могут использовать допплерографию для оценки кровоснабжения миомы. Это позволяет врачам не только подтвердить наличие миомы, но и оценить ее активность и потенциальные риски, связанные с ростом образования. Высокая васкуляризация может указывать на более агрессивный рост миомы.

Трансабдоминальный
Диагностика миомы с помощью ультразвукового исследования (УЗИ) осуществляется довольно редко. Этот метод включает использование крупного датчика, который располагается на брюшной полости. Таким образом, визуализация осуществляется через брюшину. Данный подход предпочтителен при подозрении на наличие образований в маточной полости. Он также подходит для женщин, которые еще не начали половую жизнь.
В других ситуациях этот метод не применяется, так как миома матки в таких случаях визуализируется менее эффективно. Специалист может не заметить ее, особенно если речь идет о небольших образованиях.
Метод также используется при наличии определенных противопоказаний для трансвагинального исследования. К таким противопоказаниям могут относиться беременность, механические повреждения влагалища, инфекционные заболевания и другие подобные состояния.
Трансвагинальный
При трансвагинальном исследовании миома матки визуализируется иначе. При этом методе используется датчик иной формы. Он меньше по размеру. Такой датчик вводится непосредственно во влагалище. Таким образом, достигается максимальное приближение источника излучения к исследуемому органу. Точность и информативность такого способа гораздо выше.
Метод не используется при инфекционных и воспалительных заболеваниях. Также при повреждении слизистой влагалища. Способ противопоказан при беременности. Почти никогда не может осуществляться у девушек, не ведущих половую жизнь. Однако по назначению врача иногда может назначаться и в этих случаях.
Гистерография
Ультразвуковое исследование матки представляет собой особый метод диагностики, который осуществляется следующим образом:
- Внутрь матки вводится физраствор, раствор глюкозы или фурацилина;
- Затем производится визуализация с использованием ультразвуковых датчиков.
Такое исследование не имеет большого смысла при подозрениях на наличие новообразований. По движению введенной жидкости можно лишь косвенно оценить проходимость маточных труб, что не дает точной информации о наличии или отсутствии узлов.
Данный метод чаще всего применяется для диагностики непроходимости и бесплодия. При подозрении на новообразования его практически никогда не назначают.
Показания
Показаниями к проведению УЗИ служат характерные признаки миомы матки. Это такие явления, как:
- Боли в нижней части живота во время месячных или без связи с циклом;
- Тянущие и ноющие боли в пояснице;
- Появление кровянистых выделений не во время менструаций;
- Усиление кровопотерь во время месячных;
- Нарушения менструального цикла (чаще – его укорочение, редко – удлинение);
- Увеличение живота за счет роста непосредственно новообразования.
Еще одним показанием к проведению исследования является усиление симптомов при диагностированной миоме. Если признаки усилились или появились новые проявления в кинической картине, необходимо провести внеочередное УЗИ. Так как это может свидетельствовать об увеличении скорости роста узла, его некрозе, перекруте ножки и т. д. Все эти состояния требуют немедленного диагностирования и хирургического вмешательства.
Противопоказания
Хотя ультразвуковое исследование считается безопасным, существуют определенные противопоказания и ограничения для его проведения.
- В некоторых ситуациях рекомендуется проводить трансабдоминальное УЗИ на голодный желудок.
- Трансабдоминальное исследование не следует выполнять при наличии повышенного газообразования.
- Трансвагинальное УЗИ не предназначено для девственниц.
- Также трансвагинальное исследование не проводят после ряда гинекологических операций.
- Трансабдоминальное исследование может быть затруднено, если на коже имеются воспалительные процессы или дерматологические заболевания, мешающие плотному контакту датчика с кожей.
В некоторых случаях могут быть и другие противопоказания. Об этом вас проинформирует врач.
Ход процедуры
Процедура при трансабдоминальном методе проводится следующим образом:
- Пациентка ложится на спину;
- На ее живот наносится специальный гель, улучшающий проводимость ультразвука;
- Врач перемещает датчик по поверхности нижней части живота.
При трансвагинальном исследовании на датчик надевается презерватив (во избежание инфекций). На него наносится проводящий гель. Датчик вводится во влагалище. При гистерографическом исследовании в матку предварительно вводится диагностический раствор.
Когда делать?
Когда оптимально проводить УЗИ для получения наиболее точных и информативных результатов? Обычно врач назначает дату процедуры независимо от фазы менструального цикла. На всех его этапах вероятность точного выявления опухоли остается на высоком уровне.
Однако существует одно исключение. Это касается подозрения на субмукозный узел, который находится в эндометрии. В таком случае исследование следует проводить в период, когда эндометрий имеет гиперэхогенные характеристики. Это позволит получить более информативные результаты и выявить даже самые мелкие узлы. Эндометрий достигает этого состояния на 19-24 день цикла.
Трансвагинальные исследования не осуществляются во время менструации, за исключением ситуаций, когда есть острая необходимость в этом.
Как часто?
Когда делать УЗИ при миоме матки? Ответ на этот вопрос зависит от того, как быстро она растет. Сразу после ее обнаружения назначается анализ на гормоны. После этого проводится терапия. Обычно, спустя полгода проводится повторное исследование для оценки эффективности лечения. Далее исследование проводится каждые полгода. Как только установлено, что опухоль прекратила рост, можно проводить ультразвук реже – один раз в год.
Если лечение не назначалось (например, перед климаксом), то повторная процедура проводится через 3-4 месяца. Если новообразование не растет, то следующая – через полгода. Если растет – то еще через 3-4 месяца. Если установлено, что новообразование не увеличивается, то исследование можно проводить один раз в год. А после климакса – еще реже (по показаниям врача).
Миома при беременности и УЗИ
Регулярные ультразвуковые исследования миомы матки во время беременности имеют огромное значение. В период вынашивания малыша уровень эстрогена в организме возрастает, что приводит к активному делению клеток в тканях матки. Это может стать причиной появления миомы. Кроме того, уже существующие миомы могут начать увеличиваться в размерах. Поэтому проведение ультразвуковых исследований во время беременности становится крайне важным.
Миома во время беременности
Крупные опухоли могут существенно усложнить процесс родов. Они могут вызывать кровотечения в процессе родов и затруднять прохождение ребенка через родовые пути. Также возможно физическое сжатие плода. Кроме того, миомы могут нарушать работу плаценты, что приводит к недостаточному поступлению питательных веществ к ребенку. Именно поэтому важно проводить регулярные обследования на наличие опухолей во время беременности.
Типичные ошибки
Несмотря на то, что данный метод диагностики относится к наиболее точным, есть вероятность ошибки при постановке диагноза. В некоторых случаях миома может быть перепутана с другими состояниями или образованиями. Это, зачастую, не зависит от квалификации врача. Имеют место следующие, наиболее распространенные ошибки:
- Равномерное увеличение матки и миома. У женщин, которые рожали достаточно часто или недавно может быть увеличена матка. В некоторых ситуациях такое состояние можно перепутать с миомой. Также такая ошибка возможна при наличии врожденных аномалий развития;
- Интрамуральные (мышечные) узлы можно перепутать с расширенными венами миометрия. В этом случае для уточнения диагноза прибегают к полипозиционной визуализации, иногда также проводится цветное доплеровское картирование. В последнем случае в вене обнаруживается характерный кровоток, который отсутствует в миоме;
- При УЗИ миомы матки иногда небольшой субсерозный узел можно перепутать с большим новообразованием яичника. Впрочем, такая неточность почти полностью исключена в случае, когда исследование проводится трансвагинальным методом;
- Субмукозную опухоль можно перепутать с полипом. Для уточнения диагноза тщательно собирают анамнез.
Несмотря на возможные ошибки в постановке диагноза, УЗИ в настоящее время является основным диагностическим критерием. Оно не слишком сложное и дорогостоящее, а потому назначается довольно часто.
Видео

Интерпретация результатов
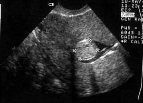
После проведения ультразвукового исследования (УЗИ) для диагностики миомы матки, интерпретация полученных результатов является ключевым этапом в определении наличия и характеристик опухоли. Врач-узист, анализируя изображения, обращает внимание на несколько важных аспектов.
Во-первых, необходимо оценить размер миомы. Миомы могут варьироваться от нескольких миллиметров до нескольких сантиметров в диаметре. Размер опухоли может влиять на выбор метода лечения и необходимость дальнейшего наблюдения. Важно отметить, что миомы могут быть одиночными или множественными, что также учитывается при интерпретации.
Во-вторых, следует обратить внимание на локализацию миомы. Она может находиться в различных слоях матки: подсерозно (на наружной поверхности), интрамурально (в толще мышечного слоя) или субмукозно (под слизистой оболочкой). Локализация опухоли имеет значение для определения симптоматики и возможных осложнений. Например, субмукозные миомы могут вызывать обильные менструации и другие проблемы с менструальным циклом.
Третьим важным аспектом является структура миомы. На УЗИ миомы выглядят как гипоэхогенные (темные) образования по сравнению с окружающими тканями. Врач может также оценить однородность структуры миомы, наличие кальцификатов или кистозных изменений, что может указывать на различные стадии развития опухоли.
Кроме того, важно учитывать состояние окружающих тканей и органов. УЗИ позволяет оценить, есть ли признаки воспалительных процессов, а также состояние яичников и других органов малого таза. Это может помочь исключить другие патологии, которые могут имитировать симптомы миомы.
Наконец, интерпретация результатов УЗИ должна учитывать клиническую картину пациента. Врач должен сопоставить данные ультразвукового исследования с жалобами и анамнезом, чтобы установить окончательный диагноз и определить дальнейшую тактику лечения. В некоторых случаях может потребоваться дополнительная диагностика, такая как магнитно-резонансная томография (МРТ) для более детального изучения опухоли.
Таким образом, интерпретация результатов УЗИ при диагностике миомы матки требует комплексного подхода и внимательного анализа всех полученных данных, что позволяет врачу разработать наиболее эффективный план лечения для пациента.
Вопрос-ответ
Какие признаки миомы могут быть выявлены на УЗИ?
На УЗИ миома может проявляться в виде гипоэхогенных или изоэхогенных образований в миометрии, которые имеют четкие контуры. Также могут быть замечены изменения в структуре окружающих тканей и наличие дополнительных образований.
Как часто рекомендуется проходить УЗИ для диагностики миомы?
Рекомендуется проходить УЗИ один раз в год для женщин старше 30 лет, особенно если есть предрасположенность к миомам или другие факторы риска. В случае обнаружения миомы или появления симптомов, таких как боли или обильные менструации, частота обследований может увеличиваться.
Как подготовиться к УЗИ для диагностики миомы?
Перед проведением УЗИ рекомендуется выпить достаточное количество воды, чтобы наполнить мочевой пузырь, что улучшит визуализацию органов. Также стоит избегать половых контактов и использования вагинальных средств за 24 часа до исследования для получения более точных результатов.
Советы
СОВЕТ №1
Перед проведением УЗИ убедитесь, что вы правильно подготовились к процедуре. В зависимости от типа УЗИ (абдоминальное или трансвагинальное) могут быть разные требования, такие как необходимость наполнить мочевой пузырь или избегать определенных продуктов перед исследованием.
СОВЕТ №2
Обсудите с врачом все ваши симптомы и медицинскую историю. Это поможет специалисту более точно интерпретировать результаты УЗИ и определить, есть ли необходимость в дополнительных исследованиях или лечении.
СОВЕТ №3
Не стесняйтесь задавать вопросы во время процедуры. УЗИ-специалист может объяснить, что именно он делает, и какие результаты ожидаются, что поможет вам лучше понять процесс диагностики миомы.
СОВЕТ №4
После получения результатов УЗИ обязательно запланируйте встречу с вашим врачом для обсуждения дальнейших шагов. Это может включать наблюдение, дополнительные исследования или варианты лечения, в зависимости от размера и расположения миомы.



