Среди воспалительных заболеваний полости рта часто встречается гингивит. По статистике, с ним сталкивается практически 100% взрослых и около 80% детей. При таком заболевании воспаляется слизистая оболочка десен. Гингивит может выступать отдельной патологией или выступать симптомом другого заболевания. Первопричиной воспаления десен считается микробный налет на зубах, который остается при неправильной или нерегулярной их чистке.
Что такое гингивит
Заболевание представляет собой воспаление края десны. Характер воспалительного процесса поверхностный, поскольку поражена только слизистая оболочка, а костные ткани остаются нетронутыми. В этом отличие гингивита от пародонтоза – зубы не расшатываются, а воспаляются сосочки между ними. Такой патологический процесс является ответной реакцией организма на проникновение вредоносных бактерий.
Причины
Общей причиной развития заболевания считается микробный налет на зубах. Он появляется при недостаточной гигиене или нарушении естественного очищения их поверхности. Этому способствует употребление большого количества сладостей и нехватка в рационе овощей и фруктов. Другие факторы риска возникновения гингивита:
- дыхание ртом;
- механическая травма десен (при неаккуратной чистке зубов);
- гормональные нарушения;
- частые ангины, переохлаждения;
- авитаминоз;
- сахарный диабет;
- стрессы;
- брекеты;
- прорезывание зубов мудрости;
- изменение качества и количества выделяемой слюны;
- физическая травма десен (при употреблении горячей или холодной пищи);
- аномалии развития зубов (скученность, глубокий прикус);
- химическая травма десен (при употреблении сильных кислот).
Гингивит у взрослых и детей часто развивается на фоне слабого иммунитета. Из-за этого микробы начинают размножаться еще активнее. В зависимости от вида гингивит развивается по-разному:
- Первоначальная острая форма. Признаки появляются на 3–4 день после появления микробного налета на зубах. При хорошем иммунитете через пару суток симптомы уменьшаются, а самочувствие пациента улучшается.
- Вторичная хроническая форма. Развивается спустя 3–4 недели после острого гингивита. Протекает в несколько фаз: обострение, временная ремиссия.

Классификация
По основной классификации в зависимости от характера течения гингивит делится на острый и хронический. С учетом причины возникновения он бывает первичным (возникает из-за проблем с зубами) и вторичным (связан с заболеваниями других органов). В зависимости от локализации воспаление носит локальный или генерализованный характер. По самой широкой классификации заболевание делится на виды с учетом клинических симптомов:
- Катаральный гингивит. Возникает из-за недостаточной гигиены полости рта. Встречается у 97% пациентов с таким заболеванием.
- Язвенно-некротический. Еще называется гингивитом Венсана. Основными симптомами являются изъязвление и некроз десневой слизистой.
- Гипертрофический. Этот вид воспаления носит хронический характер. Симптомом является увеличение объема десны или ее постоянный отек.
- Атрофический. Сопровождается оголением нижней части зуба и уменьшением десны. Атрофическая форма выступает проявлением пародонтоза.
- Десквамативный. Это аллергическая реакция десен, основным симптомом которой являются пузырьки с серозным содержимым.
- Герпетический. Его провоцирует вирус простого герпеса, который активизируется на фоне ослабленного иммунитета.
Мнение врача:
Гингивит – это воспаление десен, которое может привести к серьезным проблемам, если не обратить на него внимание. Врачи отмечают, что основные симптомы гингивита включают кровоточивость десен, отечность и покраснение. Болезнь может иметь различные формы, от легкой до тяжелой, и требует своевременной диагностики.
Для диагностики гингивита важно обратиться к стоматологу, который проведет осмотр полости рта и, при необходимости, назначит рентгенографию. Лечение гингивита включает медикаментозные препараты, такие как антисептические растворы и противовоспалительные препараты. Кроме того, врачи рекомендуют использовать народные средства, такие как прополис, календулу и эфирные масла, для укрепления здоровья десен.
Врачи подчеркивают, что регулярная гигиена полости рта, правильное питание и отказ от вредных привычек играют важную роль в профилактике гингивита. Важно обращаться к специалисту при первых признаках заболевания, чтобы избежать его осложнений.

Симптомы гингивита
Заболеванию характерен зуд десен во время приема пищи – непреодолимое желание почесать слизистую около зубов. На фоне зуда возникает болезненность десен, которая приводит к затруднению приема пищи. Боль усиливается во время чистки зубов, иногда влияет на речь, может повышаться температура до 39 градусов. Другие характерные признаки гингивита:
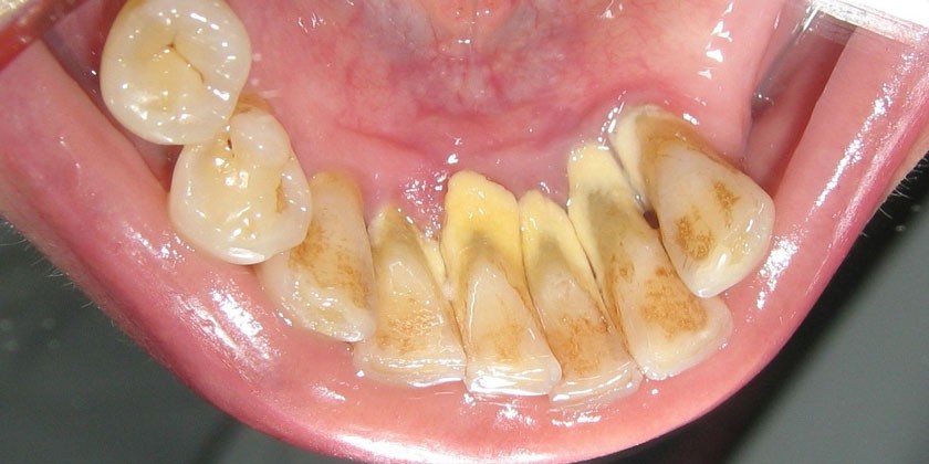
- гиперемия и отек десны в области нескольких или всех зубов;
- зубной налет или зубной камень;
- кровоточивость десен;
- неприятный запах изо рта;
- искажение контура десны;
- повышенная чувствительность.
Катаральный
Эта форма гингивита развивается на фоне ослабленного иммунитета из-за недостаточной гигиены полости рта или заболеваний сердечно-сосудистой и эндокринной системы. Истощенный организм не может справиться с бактериями в зубном налете, из-за чего они начинают активно размножаться. Катаральный гингивит поражает межзубные сосочки и маргинальную десну, которая в результате сглаживается. На фоне этого появляются следующие симптомы:
- отечность и покраснение слизистой;
- кровоточивость десен при чистке зубов;
- жжение и зуд во рту;
- повышение температуры до 37–38 градусов;
- скопления мягкого микробного налета на зубах;
- зубной камень.

Язвенно-некротический
Характерным симптомом язвенно-некротической формы гингивита является образование на поверхности десен язв. В результате слизистая частично отмирает. Значительную роль в развитии такого воспаления играет плохая гигиена полости рта. Из-за этого происходит увеличение массы микробного налета на зубах. Симптомы такого типа гингивита:
- высокая температура – 38–39 градусов;
- гнилостный запах изо рта;
- изъязвления десны;
- некротизация десневых сосочков;
- боль в деснах;
- кровоточивость;
- потеря аппетита;
- головные боли;
- увеличение лимфоузлов;
- общая слабость.
Гипертрофический
Этот тип воспаления десны хронический. Основной симптом – увеличение слизистой из-за ее фиброзного разрастания или хронического отека. Такой процесс может наблюдаться при токсикозе во время беременности, эндокринных заболеваниях, гормональных нарушениях у подростков. В последнем случае диагностируют ювенильный гингивит. Причинами гипертрофической его формы также выступают патологии прикуса и нависающие края коронок или пломб. Симптомы заболевания:
- устойчивое воспаление десневых тканей;
- увеличение межзубных сосочков;
- яркой красный цвет десен, кровоточивость;
- болезненность при чистке зубов и во время еды;
- зубной камень;
- мягкий налет на зубах.
Статьи по теме
- Спинальный инсульт – проявления, лечение медикаментами и народными средствами, массажем, физиотерапией
- Семейная гиперхолестеринемия – причины и виды болезни, медикаментозная терапия и диета, прогноз
- Гипербарическая оксигенация в медицине – кому и для чего назначается, противопоказания и осложнения
Атрофический
При этом типе гингивита наблюдается, наоборот, уменьшение десны. На фоне этого оголяется пульпа и корень зуба. Кровоточивость не наблюдается, но присутствует повышенная чувствительность к температурным раздражителям. Температура остается нормальной. Опасность заболевания в том, что со временем оно может перетечь в пародонтит. Симптомы атрофического гингивита:
- мягкий зубной налет;
- твердые отложения на поверхности зубов;
- отеки в ротовой полости;
- покраснение десневого края;
- чувствительность к раздражителям;
- увеличение межзубного пространства, в котором застревают кусочки пищи.
Диагностика гингивита
При наличии симптомов гингивита нужно обратиться к стоматологу или пародонтологу. Первым делом врач проводит опрос пациента, визуальный и инструментальный осмотр ротовой полости. Специалист обращает внимание на присутствие характерного налета и состояние десны вокруг зубов. Подтвердить гингивит помогают следующие функциональные тесты и методы диагностики:
- Пародонтограмма. Это исследование функционального состояния периодонта, десны, альвеолярных отростков – комплекса тканей, окружающих зуб и удерживающих его в альвеоле.
- Рентген. Необходим для проверки состояния костных тканей.
- Микробиологическое исследование. Проводится с целью исключения патологий со сходной симптоматикой: пародонтозом, пародонтитом.

Интересные факты
-
Гингивит может быть вызван не только плохой гигиеной полости рта, но и общими заболеваниями, такими как диабет, ВИЧ/СПИД, лейкемия, некоторые аутоиммунные заболевания и гормональные нарушения, прием определенных лекарств (например, противоэпилептических).
-
Гингивит является одним из наиболее распространенных заболеваний полости рта, который поражает людей всех возрастов, однако чаще всего встречается у детей и подростков в возрасте от 11 до 18 лет.
-
Гингивит является обратимым заболеванием, и при своевременном лечении может быть полностью излечен. Однако, если заболевание не лечить, оно может привести к серьезным осложнениям, таким как пародонтит, потеря зубов и даже сердечно-сосудистые заболевания.

Как вылечить гингивит десен
Снимать имеющиеся камни с зубов придется у стоматолога. Противовоспалительную и антисептическую терапии можно проводить и в домашних условиях. Лечение основывается на таких принципах:
- Комплексный подход. Это значит, что применяются препараты общего и местного действия с целью устранения не только симптомов, но и причины заболевания.
- Индивидуальный подход. Терапия должна учитывать имеющиеся у пациента сопутствующие заболевания и состояние иммунной системы.
- Систематичность. При хроническом течении терапия должна продолжаться длительное время, чтобы добиться стойкой ремиссии заболевания.
Препараты
Причины и симптомы гингивита у взрослых устраняют только при помощи медикаментов. Их используют как наружно, так и для приема внутрь. В зависимости от индивидуальных симптомов врач может назначить:
- Антибиотики: Амоксициллин, Линкомицин, Эритромицин, Метронидазол. Показаны при бактериальной природе заболевания. Назначаются для приема внутрь в тяжелых случаях. Метронидазол же может использоваться и наружно в виде геля.
- Антисептические растворы: Хлоргексидин, Тантум Верде. Используются для полоскания полости рта с целью обеззараживания слизистой.
- Противовоспалительные мази и гели: Солкосерил, Метрагил Дента, Холисал. Уменьшают воспаление и другие симптомы гингивита.
Определенные разновидности гингивита лечатся по разным схемам, поскольку целью является устранение причины заболевания. При катаральном терапия включает следующие основные этапы:
- Удаление бактериального налета и зубного камня, после которого стоматолог полирует поверхность зубов.
- Противовоспалительная терапия. Предполагает полоскание рта раствором Фурацилина или Хлоргексидина. Последний используют для процедуры после каждого приема пищи. Дополнительно 3 раза в день на воспаленные участки наносят гель Холисал.
При язвенно-некротической форме, кроме описанных процедур, пациенту проводят хирургическое удаление отмерших десневых тканей. После этого проводят курс антибиотиков системно или местно. Гипертрофический тип заболевания требует снятия зубных отложений. Дополнительно проводят склерозирующую терапию посредством введения в увеличенные сосочки 10% раствора хлорида кальция, 40% раствора глюкозы.
Хирургическая помощь
В более тяжелых случаях, когда консервативное лечение не помогает, используют хирургические методы. При помощи кюреток, экскаваторов и крючков врач снимает зубной камень. Эта операция называется закрытым кюретажем. Открытый же проводят при невозможности удалить зубной камень глубоко в пародонтальном кармане. В этом случае в деснах делают надрезы для облегчения процедуры. Кроме кюретажа, используются такие методы:
- Криодеструкция. Показана при фиброзном гингивите. Методика заключается в локальном воздействии холода, за счет чего патологические ткани отмирают.
- Гингивэктомия. Тоже проводится при фиброзной гипертрофии десен. Во время операции удаляют их участки, которые отслоились от зубов.

Питание
Важным условием выздоровления является правильное питание. Отказаться необходимо от быстрых углеводов, содержащихся в сладостях, мучных продуктах. Для укрепления сосудов пациенту нужно употреблять больше витамина С, который содержится в цитрусовых и смородине. Ускорить процесс регенерации помогут пектины – они присутствуют в яблоках и грушах. Дополнительно в рацион необходимо включить:
- Малину и ежевику, поскольку они помогают повысить общий иммунитет организма.
- Овощи, которые обогащают человека антиоксидантами и клетчаткой. С этой целью рекомендуют есть капусту, кабачки и морковь.
Средства гигиены
Идеальная щетка имеет ворс с округлыми кончиками и удобную ручку. Щетина должна быть средней жесткости, поскольку жесткая травмирует десна. Для чувствительных зубов лучше брать мягкую щетку. Зубную пасту подбирают индивидуально. Использовать долго одну и ту же не рекомендуют, поскольку это нарушает баланс в структурах зубов и десен. Детям лучше выбирать пасту с фтором, подросткам – с кальцием, что связано с потребностью в этих веществах в определенном возрасте. При покупке стоит обращать внимание и на следующие компоненты:
- фторид – укрепляет и защищает эмаль;
- азотный калий и хлориды – показаны для чувствительных зубов;
- сульфат натрия – помогает уменьшить болезненность;
- пирофосфаты – соединения, которые устраняют зубные налет и камень;
- компоненты для осветления эмали – пасты с такими веществами можно использовать не чаще 2 раз в неделю, поскольку они могут повредить эмаль.
Народные рецепты
С помощью народных средств можно не только ускорить выздоровление, но не вылечить заболевание. По согласованию с врачом допускается использовать следующие рецепты:
- Отвар календулы. На 1 ст. кипятка взять 2 ст. л. цветков этого растения. Залить сырье жидкостью, оставить настаиваться на 1–1,5 ч. Остывшим настоем полоскать рот после каждого приема пищи.
- Настой шалфея. Заварить 500 мл кипятка 2 ст. л. шалфея. Настаивать в течение 1 часа, после чего процедить. Полоскать отваром полость рта 3–4 раза на протяжении суток.
- Отвар коры дуба. Взять 2 ст. л. измельченного сырья, залить 2 стаканами кипятка. Дать средству постоять около получаса. Перед применением процедить. Полоскать теплым отваром рот до 4–5 раз в сутки.

Опыт других людей
Гингивит – распространенное заболевание, вызванное воспалением десен. Люди часто жалуются на кровоточивость десен, отечность и покраснение. Диагностика гингивита включает осмотр стоматолога и рентгенографию. Лечение может включать медикаментозные средства, такие как антисептические растворы, а также народные методы, например, промывание ртом отварами трав. Важно своевременно обращаться к специалисту и следовать его рекомендациям, чтобы избежать осложнений.
Профилактика
Гингивит очень легко предотвратить, соблюдая элементарные правила гигиены полости рта. Для этого нужно пользоваться подходящей зубной пастой и щеткой мягкой или средней жесткости, чтобы не повредить десна. Существуют и другие меры профилактики:
- использовать фторсодержащие пасты, которые растворяют зубной налет;
- чистить зубы 2 раза в день;
- после еды прополаскивать рот водой или специальными растворами;
- регулярно посещать стоматолога;
- отказаться от курения;
- сбалансированно питаться.
Видео
https://youtube.com/watch?v=zJ6NE77q3m0
Внимание!
Информация, представленная в статье, носит ознакомительный характер. Материалы статьи не призывают к самостоятельному лечению. Только квалифицированный врач может поставить диагноз и дать рекомендации по лечению, исходя из индивидуальных особенностей конкретного пациента.
Частые вопросы
Какие симптомы гингивита?
Отек и гиперемия десен.Кровотечение из них во время чистки зубов.Болезненность при прикосновении.Несвежее дыхание.Размягчение десны и отделение ее от зуба.Ощущение зуда.Беловатый налет на деснах.Оголение шейки зуба вследствие рецессии (убыли ткани) десны.Ещё
Какие есть формы гингивита?
По форме принято выделять такие виды гингивита: язвенный, когда появляются омертвевшие участки десны, гипертрофический, характеризуется резким увеличением десны и кровотечением, атрофический, проявляется в истончении десны, десквамативный, характеризуется краснотой и сильным отслоением верхнего слоя слизистой.
Как лечить гингивит народными средствами?
Для лечения гингивита используются настои листьев подорожника, зверобоя, крапивы, цветков ромашки, листьев шалфея, эвкалипта, а также цветков календулы. Эти настои обладают противовоспалительными свойствами.
Как диагностировать гингивит?
Диагностика гингивита Так, хронический гингивит может выявить только врач на осмотре, а острый, особенно катаральный и язвенный, легко диагностировать самому пациенту по острой боли, обильному покраснению десен или образованию язвочек на слизистой оболочке. Диагностика гингивита начинается с визуального осмотра.
Полезные советы
СОВЕТ №1
Поддерживайте хорошую устную гигиену, регулярно чистите зубы и используйте зубную нить, чтобы предотвратить развитие гингивита.
СОВЕТ №2
Обратитесь к стоматологу при первых признаках гингивита, таких как кровоточащие десны, воспаление или отёк. Раннее обращение к специалисту поможет предотвратить осложнения и эффективно лечить заболевание.
СОВЕТ №3
Избегайте курения и употребления алкоголя, так как эти привычки могут усугубить состояние десен и способствовать развитию гингивита.