Миометрий матки — мышечный слой, играющий ключевую роль в репродуктивной системе женщины. Он отвечает за сокращения матки во время менструации и родов, а также поддерживает беременность. Понимание структуры миометрия и связанных с ним заболеваний важно для здоровья женщин. В статье рассмотрим, как миометрий выглядит на УЗИ, его изменения в период беременности, гипертонус и методы его предотвращения, что поможет читателям лучше ориентироваться в вопросах женского здоровья.
Особенности
Миометрий матки представляет собой средний мышечный слой этого органа. Внутреннюю его поверхность покрывает эндометрий. Поскольку этот слой не является поверхностным, любые изменения в нем могут привести к серьезным последствиям.
Миометрий выполняет роль основного мышечного комплекса матки. Он обеспечивает поддержание нормального тонуса органа, что особенно критично в период беременности. Во время менструаций миометрий также играет важную роль в регулировании оттока крови из матки и других процессах.
С точки зрения гистологического строения, миометрий состоит из миоцитов, которые образуют пучки. Эти пучки переплетаются между собой, и внутри них происходят характерные сокращения, напоминающие спазмы. При нормальной активности миоцитов поддерживается необходимый мышечный тонус в матке.
Миометрий матки представляет собой мышечный слой, который играет ключевую роль в репродуктивной функции женщины. Эксперты отмечают, что этот слой состоит из гладкой мускулатуры и отвечает за сокращения, необходимые для родов. Кроме того, миометрий участвует в менструальном цикле, обеспечивая отторжение слизистой оболочки матки. Важно отметить, что здоровье миометрия напрямую влияет на фертильность и общее состояние репродуктивной системы. Нарушения в его функционировании могут привести к различным заболеваниям, таким как миома или гипертрофия. Поэтому регулярные обследования и внимание к симптомам, связанным с маткой, имеют первостепенное значение для женщин в любом возрасте.

Структура
В норме структура данного тканевого слоя полностью однородна. Пучки распространены равномерно. Сама мышца расслаблена в нормальном состоянии. При наличии спазма можно говорить о гипертонусе.
Однако существуют изменения в миометрии, которые считаются нормальными. Эти изменения связаны с менструальным циклом. Они носят следующий характер:
- Во время менструации наблюдается высокая частота и интенсивность спазмов;
- После последнего дня месячных частота и интенсивность резко снижаются;
- В течение всего остального менструального цикла показатели постепенно повышаются. Достигают максимума они к началу следующих месячных.
Значительно меняется и толщина слоя в зависимости от стадии цикла. Миометрий матки на седьмой день цикла имеет толщину всего около полутора миллиметров. При этом на 24-28 день она может достигать уже полутора сантиметров.
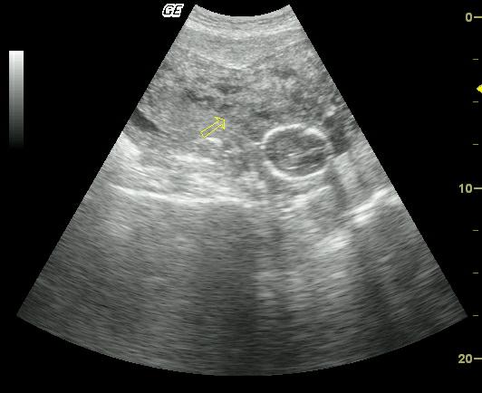
Эхоструктура этого слоя хорошо видна на УЗИ. Миометрий состоит из трех слоев. Основной продольный слой состоит из круговых мускулов. В некотором количестве также присутствуют и продольные мышечные волокна. Он связан непосредственно с периметрием, который покрывает его с наружной стороны органа.
Следующий слой (если двигаться от внешней стороны маточной стенки к внутренней) включает в себя значительное количество сосудов. Он покрыт подслизистым слоем, состоящим из хрупких продольных тканей. Этот слой покрыт непосредственно внутренней слизистой оболочкой органа, но частью миометрия она не является.
| Характеристика миометрия | Описание | Функция |
|---|---|---|
| Состав | Гладкая мышечная ткань, коллагеновые и эластиновые волокна, кровеносные сосуды, нервные волокна | Обеспечивает структуру и эластичность матки |
| Расположение | Средний слой стенки матки, между эндометрием и периметрием | Разделяет внутренний и наружный слои матки |
| Толщина | Варирует в зависимости от фазы менструального цикла и состояния беременности; увеличивается во время беременности | Обеспечивает прочность и растяжимость матки |
| Иннервация | Симпатическая и парасимпатическая нервная система | Регулирует сократительную активность |
| Кровоснабжение | Богатая сеть артерий и вен | Обеспечивает питание и кислородом мышечной ткани |
| Роль в родах | Сильные ритмичные сокращения во время родов | Изгнание плода из матки |
| Роль в менструации | Сокращения способствуют отторжению эндометрия | Регуляция менструального цикла |
| Изменения во время беременности | Гипертрофия мышечных клеток, увеличение количества коллагеновых волокон | Адаптация к росту плода и подготовке к родам |
| Патологии | Миомы матки, аденомиоз | Могут вызывать боли, кровотечения, бесплодие |
Интересные факты
Вот несколько интересных фактов о миометрии матки:
-
Структура и функция: Миометрий — это средний слой стенки матки, состоящий из гладкой мускулатуры. Он играет ключевую роль в процессе родов, обеспечивая сокращения, которые помогают вытолкнуть ребенка из матки. Эти сокращения также важны для остановки кровотечения после родов.
-
Гормональная регуляция: Миометрий чувствителен к гормонам, таким как эстроген и прогестерон. Эти гормоны влияют на его тонус и способность сокращаться, что имеет значение не только во время беременности, но и в менструальном цикле.
-
Патологии миометрия: Заболевания миометрия, такие как миомы (доброкачественные опухоли), могут вызывать различные симптомы, включая боли внизу живота и обильные менструации. Эти состояния могут потребовать медицинского вмешательства, особенно если они влияют на качество жизни женщины.

Миометриоз
Миометриоз представляет собой инфекционное заболевание, вызванное бактериями. Их присутствие в миометрии приводит к возникновению воспалительного процесса, который можно обнаружить на УЗИ. Чаще всего это состояние развивается на фоне не полностью вылеченного эндометрита. Инфекционный агент сначала проникает в эндометрий, активно воздействует на него, разрушая его, и затем проникает в миометрий, где начинается воспаление.
В результате этого воспалительного процесса матка приобретает диффузно неоднородную структуру. Эти изменения можно выявить при исследовании, например, с помощью УЗИ, и именно на основании этих данных ставится диагноз.
Основными виновниками заболевания являются определенные виды анаэробных бактерий, среди которых стафилококки, протей, палочка Коха, кишечная палочка и другие.
Однородная и неоднородная структура
Можно говорить о том, что миометрий однородный, в следующих случаях:
- Отсутствуют отеки;
- Плотность его одинакова на всех участках;
- Отсутствуют включения и воспалительные процессы;
- Миоциты и их пучки распространены равномерно;
- Отсутствуют спазмы.
При заболеваниях миометрий неоднородный. Он может быть отечным. На УЗИ видна диффузная неоднородность.
Причины неоднородности
Изменения в миометрии могут быть как естественными, так и патологическими. К естественным изменениям относятся те, что происходят в течение менструального цикла. Среди других факторов, способствующих неоднородности этого слоя, можно выделить:
- Аборты и механические травмы слоя;
- Воспалительные процессы в миометрии;
- Множественные беременности;
- Роды с применением хирургического вмешательства;
- Анемия;
- Переохлаждение;
- Стрессы и гормональные нарушения, вызванные ими;
- Гормональные дисбалансы;
- Инфекции в матке;
- Проникновение инфекции в орган во время менструации;
- Длительный застой крови в области малого таза и нарушения кровообращения;
- В некоторых случаях возможны повреждения матки при операции по удалению аппендицита.
Тем не менее, чаще всего причиной видимой неоднородности, обнаруживаемой на УЗИ, являются воспалительные процессы.
Диагностика изменений
Для постановки диагноза миометриоз используются следующие диагностические методы:
- УЗИ матки, при котором рассматривается эхоструктура органа, и при не типичности показаний выносится предварительный диагноз;
- Магнитно-резонансное исследование клеточной стенки – наиболее информативный способ;
- Мануальное исследование матки;
- Визуальный осмотр шейки матки гинекологом с помощью зеркал.
Дополнительно врач устанавливает наличие симптоматики в ходе опроса пациентки. Часто проводится биохимическое исследование периферической крови на уровень половых гормонов.
Беременность
Миометриоз является одной из основных причин бесплодия у женщин. Для успешного зачатия миометрий должен быть однородным и не иметь воспалительных процессов. Во время беременности матка увеличивается, и миометрий растет вместе с ней. На этот процесс влияют гормоны прогестерон и эстроген. В первом триместре стенки матки растягиваются, что приводит к аналогичному растяжению клеток миометрия, которые оказываются на большем расстоянии друг от друга. Во втором триместре эти клетки наполняются кровью и увеличиваются, что способствует улучшению кровоснабжения пуповины.
Гипертонус
Гипертонус матки – состояние, которое возникает при изменениях в миометрии. Строго говоря, интенсивность и частота спазмов в пучках миоцитов увеличивается. Опасен тем, что плоду может поступать недостаточно кислорода и питательных веществ. Также повышается вероятность выкидыша и преждевременных родов.
Он развивается при недостатке прогестерона. Также причиной считается высокое содержание в крови тестостерона. Иногда причинами становятся недоразвитость матки и воспалительные процессы в ней.
Заподозрить гипертонус врач может при следующей симптоматике у пациентки:
- Боли внизу живота;
- Боли в пояснице;
- Уплотнение живота.
Избежать гипертонуса можно с помощью строго контроля гормонального уровня еще на стадии планирования беременности. Также необходимо исключать стрессы. Если по УЗИ диагностируется миометриоз, то нужно отложить беременность.
Лечение
Лечение заболевания осуществляется исключительно под наблюдением врача. В большинстве случаев назначаются гормональные препараты. Для определения типа возбудителя и степени изменений применяется диагностическое выскабливание. В некоторых ситуациях также могут быть прописаны антибиотики.
Антибиотики способствуют устранению воспалительного процесса, если он присутствует. Гормональная терапия помогает восстановить гормональный баланс. В отдельных случаях может потребоваться прижигание измененной области миометрия. Это заболевание не считается тяжелым, и прогноз обычно оказывается благоприятным.
Видео

Роль миометрия в менструальном цикле
Миометрий, являющийся мышечным слоем матки, играет ключевую роль в регуляции менструального цикла. Этот слой состоит из гладкой мускулатуры и обеспечивает сокращения, необходимые для различных физиологических процессов, происходящих в матке.
В течение менструального цикла миометрий претерпевает изменения под воздействием гормонов, таких как эстроген и прогестерон. В первую половину цикла, когда уровень эстрогена повышается, миометрий становится более тонким и эластичным, что способствует подготовке матки к возможной имплантации оплодотворенной яйцеклетки. Эти изменения также способствуют увеличению кровоснабжения матки, что необходимо для создания благоприятной среды для зародыша.
Во второй половине цикла, когда уровень прогестерона возрастает, миометрий начинает готовиться к возможной беременности. Прогестерон способствует утолщению слизистой оболочки матки (эндометрия) и вызывает изменения в миометрии, которые помогают поддерживать беременность. Если оплодотворение не происходит, уровень прогестерона падает, что приводит к сокращениям миометрия и, как следствие, к менструации.
Сокращения миометрия также играют важную роль в процессе родов. Во время родов миометрий сокращается ритмично, что помогает вытолкнуть плод из матки. Эти сокращения, известные как родовые схватки, являются результатом сложного взаимодействия гормонов и нервной системы, и их сила и частота увеличиваются по мере приближения момента рождения.
Таким образом, миометрий не только поддерживает менструальный цикл, но и обеспечивает важные функции в процессе беременности и родов. Его способность к сокращению и расслаблению под воздействием гормонов делает его незаменимым элементом репродуктивной системы женщины.
Вопрос-ответ
Какова основная функция миометрия матки?
Основная функция миометрия матки заключается в обеспечении сокращений, необходимых для выталкивания плода во время родов. Миометрий также играет важную роль в менструальном цикле, помогая регулировать кровоток и поддерживать здоровье матки.
Какие заболевания могут быть связаны с миометрием?
Среди заболеваний, связанных с миометрием, можно выделить миому матки, которая представляет собой доброкачественное новообразование, а также гипертрофию миометрия, которая может возникнуть из-за гормональных изменений. Эти состояния могут вызывать различные симптомы, включая боли и нарушения менструального цикла.
Как миометрий реагирует на гормоны?
Миометрий матки чувствителен к гормонам, таким как эстроген и прогестерон. Эти гормоны влияют на его толщину и сократимость, что важно для подготовки матки к беременности и поддержания ее в течение всего срока. Изменения в уровнях этих гормонов могут приводить к изменениям в состоянии миометрия.
Советы
СОВЕТ №1
Изучите анатомию матки и функции миометрия. Понимание структуры и роли миометрия поможет вам лучше осознать его значение в репродуктивном здоровье и беременности.
СОВЕТ №2
Регулярно проходите гинекологические обследования. Это поможет выявить возможные проблемы с миометрием и другими частями матки на ранних стадиях, что значительно упростит лечение.
СОВЕТ №3
Обратите внимание на свое здоровье и образ жизни. Здоровое питание, физическая активность и отказ от вредных привычек могут положительно сказаться на состоянии миометрия и общем репродуктивном здоровье.
СОВЕТ №4
Если у вас есть вопросы или беспокойства о состоянии миометрия, не стесняйтесь обращаться к врачу. Консультация с квалифицированным специалистом поможет развеять сомнения и получить необходимую информацию.


