Кальцинированная миома матки — это форма миоматозного узла с отложением кальция в тканях. Это состояние может вызывать симптомы и осложнения, что делает его важным в гинекологии. В статье рассмотрим развитие и строение кальцинированной миомы, ее симптомы, методы диагностики и подходы к лечению. Понимание этих аспектов поможет женщинам лучше ориентироваться в своем здоровье и принимать обоснованные решения о лечении.
Особенности
В некоторых ситуациях, когда врач ставит диагноз, он может упомянуть о кальцинированной миоме. Что это означает? Это новообразование возникает при высоком уровне эстрогена, когда клетки эндометрия или других тканей матки начинают активно размножаться. Обычно миома состоит из соединительной и мышечной ткани.
К таким образованиям поступает кровь, что позволяет им расти и вызывать различные симптомы, включая кровотечения. Однако в некоторых случаях вокруг миомы образуется твердая кальциевая оболочка, что и приводит к диагнозу кальцинированная миома.
Кальциевая капсула представляет собой статичное образование. Это означает, что такое образование не является «живым». Оно, как правило, не получает кровоснабжения и не имеет тенденции к активному росту. Тем не менее, рассасывание таких узлов под воздействием гормонотерапии происходит довольно редко.
Кальцинированная миома матки представляет собой доброкачественное образование, которое образуется в мышечной ткани матки и может содержать отложения кальция. Эксперты отмечают, что такие изменения часто возникают в результате старения миомы или её некроза. Кальцинированные миомы, как правило, не вызывают симптомов и могут быть случайно обнаружены при ультразвуковом исследовании. Однако важно понимать, что наличие кальцинированных участков может указывать на необходимость дальнейшего наблюдения, так как это может свидетельствовать о других изменениях в организме. В большинстве случаев такие миомы не требуют лечения, но при наличии симптомов, таких как боли или обильные менструации, пациенткам рекомендуется обратиться к врачу для оценки состояния и возможных вариантов терапии.

Развитие
Кальцинирование узла не происходит мгновенно. Также миома не может образоваться сразу в такой форме. Развитие оболочки из кальция происходит, зачастую, на протяжении длительного времени. По этой причине такие новообразования, обычно, диагностируются достаточно больших размеров. Развитие такой опухоли происходит следующим образом:
- В результате высокого содержания в крови эстрогенов, начинается активное деление клеток тканей матки;
- Формируется узел из соединительной, мышечной ткани и сосудов;
- Со временем, и по ходу роста образования, кровоток в нем ослабевает;
- Опухоль начинает активно поглощать кальций;
- В результате вокруг нее образуется плотная кальциевая оболочка;
- Со временем она утолщается как наружу, так и внутрь, количество мягких тканей в узле уменьшается;
В результате этого процесса в матке образуются практически камни. Они сильно давят на внутренние органы. На этом этапе типичная симптоматика миомы матки будет более выраженной. Особенно могут усилиться боли. Хотя кровотечения, нередко, почти полностью прекращаются. Так как сосудистая ткань заменяется плотными кальциевыми соединениями.
Кальцинирование миомы происходит всегда при отсутствии лечения. Это закономерный процесс, а не исключение. Редкая встречаемость такого явления же объясняется тем, что пациентки редко так «запускают» свое состояние.
| Характеристика | Описание | Клиническое значение |
|---|---|---|
| Что такое кальцинированная миома матки? | Доброкачественная опухоль мышечного слоя матки, содержащая отложения кальция. | Без симптомов в большинстве случаев. Может вызывать боль, давление, кровотечение в зависимости от размера и расположения. |
| Причины кальцификации | Ишемия (нарушение кровоснабжения) миомы, возрастные изменения, воспалительные процессы. | Не всегда установлена прямая причина. |
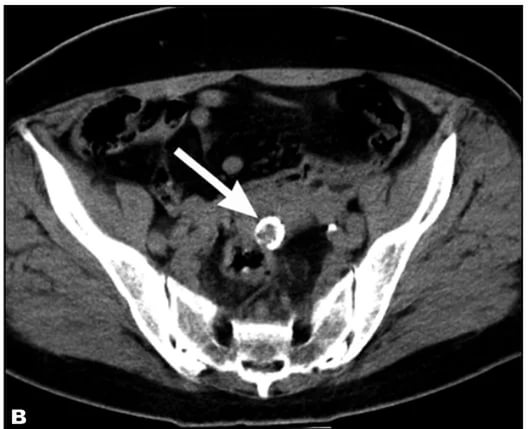
| Диагностика | УЗИ, КТ, МРТ. | Визуализация кальцификатов в миоме на изображениях. |
| Симптомы | Часто бессимптомно. Может проявляться болью внизу живота, обильными или нерегулярными менструациями, давлением на соседние органы. | Симптомы зависят от размера и расположения миомы. |
| Лечение | Наблюдение (при отсутствии симптомов), миомэктомия (хирургическое удаление миомы), эмболизация маточных артерий (ЭМА), гистерэктомия (удаление матки). | Выбор метода лечения зависит от возраста пациентки, желания сохранить репродуктивную функцию, размера и расположения миомы, наличия симптомов. |
| Прогноз | Благоприятный при отсутствии осложнений. | Кальцификация миомы обычно не влияет на прогноз. |
Интересные факты
Кальцинированная миома матки — это доброкачественное образование, которое может возникать в мышечном слое матки. Вот несколько интересных фактов об этом состоянии:
-
Кальцификация как защитный механизм: Кальцинированные миомы часто образуются в результате старения или дегенерации миомы. Кальций откладывается в тканях, что может быть признаком того, что миома перестала расти или начала регрессировать. Это может служить естественным защитным механизмом организма.
-
Симптомы и диагностика: Кальцинированные миомы могут не вызывать никаких симптомов и часто обнаруживаются случайно при ультразвуковом исследовании или других визуализирующих методах. Однако в некоторых случаях они могут вызывать боли внизу живота или менструальные нарушения.
-
Влияние на фертильность: Хотя большинство миом не влияют на фертильность, кальцинированные миомы могут иногда затруднять зачатие или вынашивание беременности, особенно если они расположены в определенных областях матки. Однако многие женщины с миомами успешно беременеют и рожают здоровых детей.

Диагностика
Для диагностики данного типа новообразований используются те же методы, что и для обычных опухолей. Тем не менее, ультразвуковое исследование может столкнуться с определенными трудностями. Кальцинированные опухоли иногда сложно идентифицировать на УЗИ, особенно если они небольшие.
Более четкие результаты можно получить только при наличии узлов диаметром от 8 мм, так как они кальцинируются довольно редко. Обычно наличие таких новообразований на УЗИ определяется по гиперэхогенным включениям с акустическим эффектом.
Магнитно-резонансная томография (МРТ) обладает большей точностью и информативностью. Стоимость МРТ матки составляет около 3000 рублей, что делает этот метод довольно дорогим. Однако в некоторых случаях это единственный способ для установления точного диагноза. МРТ является наиболее информативным методом, который практически исключает вероятность ошибки. Он позволяет точно определить расположение миом, их размеры, а также выяснить, могут ли они быть кальцинированными.
Беременность и роды
Присутствие миомы матки может мешать забеременеть. Однако сам факт кальцинирования узла не делает процесс вынашивания и родов более опасными. При простой миоме беременеть не желательно. Это распространяется и на кальцинированную миому.
Ее присутствие повышает риск преждевременных родов или выкидыша. Возможно развитие патологий плода. Родовой процесс будет значительно осложнен.

Хирургическое вмешательство
Хотя миома матки в кальциевой оболочке не может расти самостоятельно, ткани, окружающие ее, могут увеличиваться. Это означает, что теоретически возможно увеличение новообразования. В случае значительного роста потребуется хирургическое вмешательство.
Кроме того, при кальцинировании крупных узлов они могут оказывать давление на соседние органы. Это может привести к учащенному мочеиспусканию и нарушениям в работе кишечника. Также могут возникать более интенсивные боли в области живота и поясницы. В таких ситуациях также рекомендуется операция.
Тем не менее, миому можно успешно лечить и консервативными методами. Более подробно об этом можно узнать в статье “Лечение миомы матки”. О нюансах хирургического удаления рассказывается в материале “Операция по удалению миомы матки”.
Профилактика и рекомендации
Профилактика кальцинированной миомы матки включает в себя несколько аспектов, направленных на снижение риска развития этого заболевания и поддержание общего здоровья репродуктивной системы. Важно понимать, что кальцинированная миома — это не самостоятельное заболевание, а следствие уже существующей миомы матки, которая подверглась процессу кальцификации. Поэтому профилактические меры должны быть направлены на предотвращение роста миом и их осложнений.
Одним из ключевых аспектов профилактики является регулярное медицинское обследование. Женщинам рекомендуется проходить гинекологические осмотры не реже одного раза в год, особенно если у них есть предрасположенность к миомам или другие факторы риска, такие как наследственность, гормональные нарушения или возраст старше 30 лет. Во время осмотра врач может выявить изменения в состоянии матки и предложить необходимые меры для их коррекции.
Также важно следить за своим гормональным фоном. Поскольку миомы матки часто связаны с нарушениями в работе эндокринной системы, регулярные проверки уровня гормонов помогут выявить возможные отклонения на ранних стадиях. В случае необходимости врач может назначить гормональную терапию для нормализации уровня гормонов и снижения риска роста миом.
Здоровый образ жизни также играет значительную роль в профилактике кальцинированной миомы. Это включает в себя сбалансированное питание, богатое витаминами и минералами, регулярные физические нагрузки, отказ от курения и ограничение потребления алкоголя. Избыточный вес и ожирение могут способствовать гормональным нарушениям, что, в свою очередь, увеличивает риск развития миом.
Кроме того, важно избегать стрессов и находить время для отдыха и релаксации. Хронический стресс может негативно влиять на гормональный баланс и общее состояние здоровья. Практики, такие как йога, медитация и дыхательные упражнения, могут помочь в управлении стрессом и поддержании психоэмоционального благополучия.
Наконец, следует обратить внимание на симптомы, которые могут указывать на наличие миомы матки, такие как болезненные менструации, обильные кровотечения, боли внизу живота и другие. При появлении таких симптомов необходимо незамедлительно обратиться к врачу для диагностики и назначения соответствующего лечения.
Соблюдение этих рекомендаций поможет снизить риск развития кальцинированной миомы матки и поддерживать здоровье репродуктивной системы на должном уровне.
Вопрос-ответ
Каковы причины кальцинированной миомы матки?
Кальцинированная миома матки может возникать в результате старения миоматозных узлов, когда в них происходит отложение кальция. Это может быть связано с недостаточным кровоснабжением узлов, их дегенерацией или воспалительными процессами. Также факторами риска могут быть гормональные изменения, генетическая предрасположенность и наличие других заболеваний репродуктивной системы.
Какие симптомы могут указывать на наличие кальцинированной миомы?
Кальцинированная миома может не вызывать явных симптомов, особенно на ранних стадиях. Однако, если она увеличивается в размерах, могут возникать боли внизу живота, дискомфорт во время менструации, а также проблемы с мочеиспусканием или дефекацией. В некоторых случаях может наблюдаться бесплодие. Важно регулярно проходить гинекологические обследования для раннего выявления подобных изменений.
Как диагностируется кальцинированная миома матки?
Диагностика кальцинированной миомы обычно включает ультразвуковое исследование (УЗИ), которое позволяет визуализировать миоматозные узлы и их кальцификацию. В некоторых случаях может потребоваться магнитно-резонансная томография (МРТ) для более детального изучения состояния матки. Врач также может провести гинекологический осмотр и собрать анамнез для определения возможных симптомов и факторов риска.
Советы
СОВЕТ №1
Перед тем как принимать какие-либо решения о лечении кальцинированной миомы матки, обязательно проконсультируйтесь с квалифицированным гинекологом. Он сможет оценить ваше состояние и предложить наиболее подходящие варианты лечения.
СОВЕТ №2
Следите за своим здоровьем и регулярно проходите профилактические осмотры. Это поможет выявить миому на ранних стадиях и предотвратить возможные осложнения.
СОВЕТ №3
Обратите внимание на свой образ жизни: правильное питание, физическая активность и отказ от вредных привычек могут помочь в поддержании общего здоровья и снижении риска развития миомы.
СОВЕТ №4
Не игнорируйте симптомы, такие как болезненные менструации или необычные выделения. Эти признаки могут указывать на проблемы с миомой, и важно вовремя обратиться к врачу для диагностики и лечения.

