Эндометриоидная киста шейки матки — патологическое образование, возникающее при эндометриозе, когда клетки, похожие на клетки внутреннего слоя матки, развиваются вне него. Это состояние может вызывать симптомы и осложнения, влияющие на здоровье женщины и её репродуктивную функцию. В статье рассмотрим причины возникновения эндометриоидной кисты шейки матки, её клинические проявления, методы диагностики и современные подходы к лечению, что поможет читателям лучше понять заболевание и своевременно обратиться за медицинской помощью.
Определение
Эндометриоидная киста матки представляет собой доброкачественное образование, имеющее форму капсулы с плотными стенками и внутренней полостью. Эта полость может быть заполнена различными жидкостями, такими как гной, серозная жидкость, геморрагическое отделимое или секреты желез. Киста располагается в тканях матки и может расти как в сторону органа (в его просвет), так и внутрь (в толщу тканей). Для кист, относящихся к репродуктивной системе, особенно эндометриоидных, характерно прорастание в просвет органа.
Каковы же особенности эндометриоидной кисты матки? Главное отличие заключается в том, что она формируется исключительно на фоне воспалительного процесса в матке, известного как эндометрит. Эндометрит — это воспаление эндометрия, вызванное инфекционными агентами, в частности, бактериями. Эндометриоидная киста возникает именно в тех участках, где активно действуют эти микроорганизмы.
Таким образом, если новообразование появляется при эндометрите, но в области стенки матки, не затронутой воспалением, то, скорее всего, такая киста не является эндометриоидной и имеет иные причины своего возникновения.
Эндометриоидная киста шейки матки представляет собой образование, возникающее в результате эндометриоза, когда клетки, подобные клеткам внутреннего слоя матки, начинают расти вне его. Эксперты подчеркивают, что такие кисты могут вызывать различные симптомы, включая боль, дискомфорт и нарушения менструального цикла. Важно отметить, что диагностика эндометриоидных кист может быть сложной, так как они часто не проявляют себя на ранних стадиях. Врачам рекомендуется использовать ультразвуковое исследование и другие методы визуализации для точного определения наличия и размера кист. Лечение может варьироваться от наблюдения до хирургического вмешательства, в зависимости от степени выраженности симптомов и влияния на качество жизни пациентки. Эксперты акцентируют внимание на важности индивидуального подхода к каждому случаю, чтобы обеспечить наилучший результат для здоровья женщины.

Распространенность
Распространено такое явление достаточно широко, как и сам эндометрит. Но во всех ли случаях заболевания этой болезнью образуется киста? Это происходит далеко не всегда. Многое зависит не только от особенностей локализации процесса, его длительности и эффективности, но в том числе и от наследственной предрасположенности организма к развитию такого состояния, то есть некоторые врожденные особенности протоков (например, их сужение).
Особо выраженной возрастной корреляции и частоты возникновения новообразования при эндометрите не выявлено. Так как само заболевание может поражать как девочек, так и женщин и пожилого, и репродуктивного возраста, киста также может возникнуть в любом возрасте, в том числе в детстве. Немного выше встречаемость этого явления у женщин репродуктивного возраста, но это связано, в большей степени, с тем, что у них чаще бывает эндометрит, так как наличие половой жизни повышает вероятность попадания в матку инфекционного агента. В пожилом же возрасте вероятность эндометрита также достаточно высока, но из-за сниженного местного тканевого иммунитета.
| Характеристика | Описание | Возможные последствия |
|---|---|---|
| Что такое эндометриоидная киста шейки матки? | Доброкачественное образование на шейке матки, содержащее ткани, похожие на эндометрий (внутреннюю оболочку матки). | Боль, бесплодие, нарушения менструального цикла. |
| Причины возникновения | Не до конца изучены, но предполагается связь с ретроградной менструацией (обратный заброс менструальной крови в брюшную полость). | Развитие эндометриоза в других органах. |
| Симптомы | Часто бессимптомна. Может проявляться болями во время полового акта (диспареунией), кровотечениями между менструациями, болезненными менструациями (дисменореей). | Осложнения во время беременности. |
| Диагностика | Гинекологический осмотр, УЗИ, лапароскопия (в некоторых случаях). | Несвоевременное лечение может привести к осложнениям. |
| Лечение | Наблюдение, гормональная терапия, хирургическое удаление (в зависимости от размера кисты и симптомов). | Повторное образование кисты. |
Интересные факты
Эндометриоидная киста шейки матки — это редкое, но важное состояние, связанное с эндометриозом. Вот несколько интересных фактов об этом:
-
Редкость и диагностика: Эндометриоидные кисты шейки матки встречаются гораздо реже, чем кисты в яичниках. Их диагностика может быть затруднена, так как симптомы часто схожи с другими гинекологическими заболеваниями, такими как миома или воспалительные процессы.
-
Связь с эндометриозом: Эндометриоидные кисты образуются, когда клетки эндометрия (внутреннего слоя матки) начинают расти вне матки, включая шейку матки. Это состояние может вызывать боль, дискомфорт и проблемы с фертильностью, так как оно влияет на нормальное функционирование репродуктивной системы.
-
Лечение и управление: Лечение эндометриоидных кист шейки матки может включать медикаментозную терапию для контроля симптомов, а также хирургическое вмешательство для удаления кист. Важно, чтобы лечение проводилось под наблюдением специалиста, так как эндометриоз может иметь различные проявления и требовать индивидуального подхода.

Причины
Каковы же причины этого явления и как происходит образование новообразования в репродуктивной системе? В процессе функционирования патологического организма и возникновения воспалительных процессов может происходить закупорка протоков некоторых желез в эндометриоидном слое. В таком состоянии секрет желез не может оттекать, что приводит к его накоплению в области протока. В результате образуется полость, заполненная секретом, которая, по мере прогрессирования процесса, формирует достаточно плотные внутренние стенки. На данном этапе она уже представляет собой полноценную кисту, которая растет тем быстрее, чем активнее функционирует железа и чем больше секрета она производит.
Какие факторы способствуют этому процессу и в каких случаях эндометриоидная киста матки возникает особенно часто? Выделяется несколько предпосылок:
- Наследственная предрасположенность, связанная с анатомическими особенностями протоков, такими как их сужение или наличие сращений;
- Сниженный тканевый иммунитет, возникающий из-за воспалительных и/или инфекционных процессов, а также хирургических вмешательств, что увеличивает риск развития эндометрита;
- Гормональный дисбаланс, который приводит к увеличению объема выделяемой секреции и другим изменениям;
- Частые беременности, аборты, роды и выкидыши, так как все это может снижать тканевый иммунитет;
- Игнорирование правил личной гигиены и отсутствие барьерной контрацепции при частой смене половых партнеров – все это также увеличивает риск возникновения инфекционно-воспалительных процессов.
Заболевание может развиваться при эндометрите независимо от поведения и действий пациентки. На данный момент не разработаны надежные и эффективные меры профилактики этого явления. Однако очевидно, что чем раньше будет начато лечение эндометрита, тем ниже вероятность формирования образования на эндометрии.
Симптоматика
Эндометриоидная киста шейки матки может проявляться по-разному. Она формирует клиническую картину, которая часто может быть неразличима на фоне симптоматики эндометрита, потому диагностируется такое новообразование часто случайно. Имеют место следующие симптомы:
- Боли в нижней части живота, периодические или постоянные;
- Дискомфорт при половом акте;
- Кровотечения незначительные, или примесь крови в вагинальных выделениях;
- Увеличение количества выделений;
- Нарушение менструальной функции.
Так как симптоматика достаточно очевидна, пациентки своевременно обращаются к врачу и, зачастую, значительного роста и развития кисты удается избежать. Однако, это не так при хроническом течении заболевания, когда симптомы не так ярко выражены.

Диагностика
Для диагностики кисты применяются следующие методы:
- Ультразвуковое исследование (УЗИ) является обязательным, однако его информативность высока только при наличии крупных образований, мелкие кисты могут оставаться незамеченными.
- Гистероскопия предоставляет полезную информацию при определенных условиях расположения кист, но не всегда эффективна, так как некоторые участки матки могут быть недоступны для визуализации.
- Лапароскопия обладает аналогичной информативностью, как и гистероскопия, и имеет схожие ограничения.
- Осмотр с использованием зеркал может быть достаточно информативным, позволяя выявить кисты на влагалищной части шейки матки.
- Цитологическое исследование и биопсия тканей необходимы для исключения риска онкологических заболеваний, поскольку, хотя случаи перерождения кисты в рак встречаются редко, все новообразования должны проходить такую проверку.
- Мазок из матки берется для выявления возбудителя эндометрита, что позволяет назначить наиболее эффективное лечение.
- Мазок из влагалища выполняется с аналогичной целью.
- Бактериологический посев и другие исследования помогают выявить сопутствующие инфекции, вирусы и грибки.
Эти методы не только подтверждают наличие кисты, но и помогают определить возбудителя эндометрита, а также исключить риск развития онкологического процесса.
Лечение
Терапия кисты такого типа проходит в два этапа. Применяется как комбинированное, так и хирургическое лечение. После прохождения курса приема медикаментозных препаратов, врач подбирает наиболее оптимальный способ удаления непосредственно новообразования.
Консервативное
Эндометриоидная киста матки не поддается лечению с помощью консервативных методов. Она не исчезнет под воздействием медикаментов. Однако консервативная терапия назначается для подавления инфекционного процесса, который вызывает эндометрит. Это необходимо, поскольку удаление новообразования невозможно при наличии воспалительного фона, что увеличивает риск инфицирования и повторного появления кисты по тем же причинам (рецидив).
Лечение эндометрита проводится с использованием антибиотиков широкого спектра, таких как Метрогил и Цефтриаксон. Курс лечения длится от 5 до 10 дней и зависит от степени развития заболевания. Дозировки рассчитываются в зависимости от веса пациентки и обычно составляют от 250 до 1000 мг. В дополнение к антибиотикам на протяжении всего курса рекомендуется принимать нестероидные противовоспалительные препараты, такие как Ибупрофен, Нурофен или Диклофенак. Эти препараты помогают не только уменьшить воспаление, но и облегчить болевые ощущения.
В этот период также может проводиться витаминотерапия и иммуностимулирующая терапия. Только после полного выздоровления от эндометрита возможно лечение кисты.
Малоинвазивное
К малоинвазивным методом относятся, например, прижигания (электрокоагуляция, криодеструкция, химическое прижигание препаратами). Они помогают тогда, когда есть более или менее простой доступ к новообразованию. Например, именно так, зачастую, лечится эндометриоидная киста шейки матки. Также, это осуществимо и действенно только при небольших и единичных кистах.
Кроме того, радиоволновое, ультразвуковое и лазерное лечение также считаются малоинвазивными способами. Данные методы достаточно дорогостоящие, мало распространенные. Лечение с их помощью длительное, потому применяется оно достаточно редко.
Оперативное
Оперативное вмешательство осуществляется в тех случаях, когда малоинвазивные методы оказываются недостаточно эффективными или невозможными. Под инвазивным хирургическим вмешательством подразумевается любая операция, при которой доступ к матке осуществляется через полостной разрез. В процессе такого вмешательства может быть удалена как сама киста, так и вся матка (это касается женщин в пострепродуктивном возрасте или тех, кто не планирует иметь детей в будущем) в случае наличия большого количества кист.
В некоторых ситуациях доступ к матке можно получить также с помощью лапароскопии или гистероскопии. Однако эти методы эффективны лишь при небольших размерах кисты и в тех случаях, когда ее расположение позволяет использовать данные техники.
Осложнения
К каким же последствиям и осложнениям может привести наличие такой кисты?
- Ее значительный рост, который вызывает постоянную неприятную симптоматику, боли в животе, кровотечения, в результате которых развивается анемия;
- Воспалительный процесс, который может вести к перитониту, сепсису, абсцессу и иногда имеет необходимость в срочном оперативном вмешательстве ради спасения жизни пациентки;
- Деформация органа при большом размере кисты или их значительном количестве в матке;
- Бесплодие.
Все эти последствия могут быть достаточно тяжелыми. По этой причине, при диагностике такого новообразования врачи всегда рекомендуют его удаление в плановом порядке. Особенно в случаях, когда образование активно растет.
Полостное вмешательство назначается достаточно редко, так как оно травматично и имеет длительный восстановительный период.
Беременность
Если у женщины диагностирована эндометриоидная киста матки, это не исключает возможность забеременеть. Однако шансы на зачатие значительно уменьшаются, поскольку наличие воспалительного процесса снижает вероятность успешного имплантирования эмбриона в стенку матки. Даже если эндометрит был полностью вылечен, наличие кисты все равно может негативно сказаться на способности плодного яйца прикрепиться. Кроме того, если киста расположена в цервикальном канале, она может блокировать его просвет, что затрудняет доступ сперматозоидов в полость матки для оплодотворения.
Но если беременность все же наступила, возникает вопрос о возможности ее вынашивания. Такие случаи известны, однако они могут быть связаны с определенными рисками. Например, существует вероятность развития гипертонуса матки, что может привести к выкидышу. Также есть риск, что на определенном этапе беременности плоду будет недостаточно питательных веществ, что особенно опасно на ранних сроках и может привести к замершей беременности. Если эндометрит не был полностью вылечен, существует риск, что воспалительный процесс может затронуть плод, что может привести к его гибели. Аналогичная угроза возникает, если во время беременности воспаление кисты активизируется, что также может случиться.
Профилактика
Эндометриоидные кисты, также известные как шоколадные кисты, формируются в результате эндометриоза, при котором клетки эндометрия (внутреннего слоя матки) начинают расти вне матки, в том числе на шейке матки. Данное состояние требует комплексного подхода, который включает в себя как медицинские, так и образовательно-психологические меры.
Во-первых, важно регулярно проходить гинекологические обследования. Раннее выявление эндометриоза и других гинекологических заболеваний может значительно снизить риск развития кисты. Женщинам, особенно тем, кто имеет в анамнезе эндометриоз или другие гинекологические проблемы, рекомендуется посещать врача не реже одного раза в год.
Во-вторых, следует обратить внимание на образ жизни. Поддержание здорового веса, регулярные физические нагрузки и сбалансированное питание могут помочь в поддержании гормонального баланса и снижении риска развития эндометриоза. Избыточный вес и ожирение могут способствовать гормональным нарушениям, что, в свою очередь, может увеличить вероятность образования кист.
В-третьих, важно контролировать уровень стресса. Хронический стресс может негативно влиять на гормональный фон и общее состояние здоровья. Практики релаксации, такие как йога, медитация и дыхательные упражнения, могут помочь в снижении уровня стресса и улучшении общего самочувствия.
Также стоит обратить внимание на репродуктивное здоровье. Женщинам, планирующим беременность, рекомендуется заранее проконсультироваться с врачом, особенно если в анамнезе есть проблемы с фертильностью или эндометриоз. Забота о репродуктивном здоровье и своевременное лечение заболеваний могут предотвратить развитие эндометриоидных кист.
Наконец, важно быть информированным о симптомах эндометриоидной кисты и эндометриоза. Знание признаков, таких как болезненные менструации, боли в области таза и дискомфорт во время полового акта, может помочь в раннем обращении к врачу и своевременном лечении.
Таким образом, эндометриоидной кисты шейки матки требует активного участия женщины в своем здоровье, регулярного медицинского наблюдения и здорового образа жизни. Это поможет не только снизить риск развития заболевания, но и улучшить общее качество жизни.
Вопрос-ответ
Каковы основные симптомы эндометриоидной кисты шейки матки?
Основные симптомы могут включать болезненные менструации, дискомфорт во время полового акта, а также необычные выделения из влагалища. В некоторых случаях киста может не проявлять никаких симптомов, что затрудняет диагностику.
Как диагностируется эндометриоидная киста шейки матки?
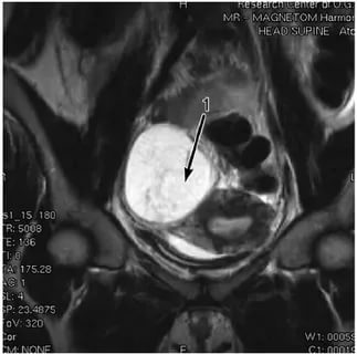
Диагностика обычно включает гинекологический осмотр, ультразвуковое исследование и, в некоторых случаях, магнитно-резонансную томографию (МРТ). Эти методы помогают визуализировать кисту и оценить её размер и расположение.
Какие методы лечения существуют для эндометриоидной кисты шейки матки?
Лечение может варьироваться в зависимости от размера кисты и наличия симптомов. Варианты включают наблюдение, медикаментозную терапию для контроля симптомов и, в более серьезных случаях, хирургическое вмешательство для удаления кисты.
Советы
СОВЕТ №1
Обратитесь к врачу при первых симптомах. Если вы испытываете боли в области таза, нерегулярные менструации или другие необычные симптомы, не откладывайте визит к гинекологу. Ранняя диагностика эндометриоидной кисты может значительно улучшить прогноз и облегчить лечение.
СОВЕТ №2
Изучите информацию о заболевании. Понимание природы эндометриоидных кист, их причин и возможных последствий поможет вам лучше подготовиться к разговору с врачом и принимать обоснованные решения о своем здоровье.
СОВЕТ №3
Обсудите варианты лечения. Эндометриоидные кисты могут требовать различных подходов к лечению, включая медикаментозную терапию и хирургическое вмешательство. Обсудите с врачом все возможные варианты и выберите тот, который подходит именно вам.
СОВЕТ №4
Поддерживайте здоровый образ жизни. Правильное питание, регулярные физические нагрузки и управление стрессом могут помочь улучшить общее состояние здоровья и снизить риск обострения симптомов, связанных с эндометриоидными кистами.


