Аборт — серьезная медицинская процедура, требующая внимательного подхода, особенно при наличии сопутствующих заболеваний, таких как эрозия шейки матки. Вопрос о риске осложнений при аборте у женщин с этой патологией волнует многих. В статье рассмотрим, как эрозия шейки матки влияет на процесс аборта, какие обследования нужно пройти перед процедурой и какие меры предосторожности учитывать. Эта информация поможет женщинам понять свои риски и принять обоснованное решение о проведении аборта при наличии эрозии.
Прерывание беременности при эрозии шейки матки
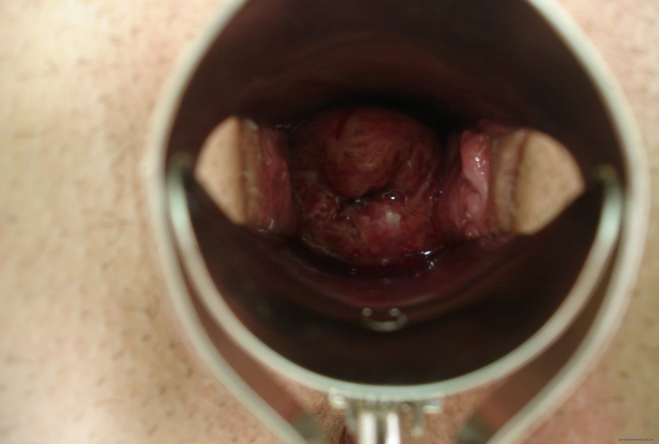
Эрозия не является основанием для отказа в проведении аборта. Однако перед процедурой женщине необходимо пройти полное медицинское обследование, которое позволит выявить возможные патологии. Обнаруженные заболевания могут стать противопоказанием для прерывания беременности. Наиболее распространённым заболеванием является эрозия шейки матки.
Мнение экспертов по вопросу аборта при эрозии шейки матки подчеркивает важность индивидуального подхода к каждой пациентке. Специалисты отмечают, что наличие эрозии не является абсолютным противопоказанием для проведения аборта, однако требует тщательной оценки состояния здоровья женщины. Риск осложнений, таких как инфекционные процессы или кровотечения, может увеличиваться, если не учитывать особенности эрозии и общее состояние шейки матки. Врачи рекомендуют проводить предварительное обследование и, при необходимости, лечение эрозии перед абортом. Это позволит минимизировать возможные риски и обеспечить безопасность процедуры. Важно, чтобы решение принималось совместно с квалифицированным медицинским специалистом, который сможет учесть все факторы и предложить оптимальный вариант для каждой женщины.

Какой тип аборта подходит больше?
Стоит отметить, что многие специалисты отдают предпочтение медикаментозному аборту, так как он позволяет избежать травм шейки матки и не провоцирует развитие эктопии. Единственным минусом является то, что фармакологический аборт проводится только на маленьком сроке (до 6 недель беременности).
В процессе хирургического аборта требуется расширение стенок шейки, и чем больше срок беременности, тем шире просвет. В результате этого, шейка травмируется, на ней появляются ссадины, трещины и надрывы. Как следствие, нарушается нормальная родовая деятельность при вынашивании следующей беременности. Кроме этого, при кюретаже можно повредить не только слизистую оболочку матки и шейки, но и их мышечный слой.
| Фактор риска | Возможные осложнения при аборте на фоне эрозии шейки матки | Рекомендации/Меры предосторожности |
|---|---|---|
| Наличие эрозии шейки матки (в т.ч. ее размер и степень выраженности) | Более интенсивное кровотечение во время и после аборта; Повышенный риск инфекционных осложнений (эндометрит, цервицит); Трудности при проведении аборта; Повреждение шейки матки; Образование рубцов на шейке матки | Тщательное обследование шейки матки перед абортом; Выбор щадящего метода аборта; Профилактика инфекционных осложнений (антибиотики); Более тщательный послеоперационный мониторинг |
| Способ прерывания беременности | Вакуум-аспирация (менее травматична, но возможны осложнения при глубокой эрозии); Медикаментозный аборт (риск неполного аборта и кровотечения выше при наличии эрозии); Хирургический аборт (более травматично, высокий риск осложнений) | Выбор метода аборта должен осуществляться врачом с учетом индивидуальных особенностей пациентки и состояния шейки матки; В случае глубокой эрозии предпочтение отдается вакуум-аспирации под контролем УЗИ |
| Сопутствующие заболевания | Наличие воспалительных заболеваний органов малого таза, иммунодефицитные состояния, сахарный диабет повышают риск осложнений | Лечение сопутствующих заболеваний до проведения аборта; Тщательный подбор антибиотиков для профилактики инфекций |
| Опыт врача | Неквалифицированное проведение аборта увеличивает риск осложнений любого характера | Выбор опытного врача и медицинского учреждения с хорошей репутацией |
Интересные факты
Вот несколько интересных фактов, связанных с темой аборта при эрозии шейки матки и возможными осложнениями:
-
Влияние эрозии на процедуру: Эрозия шейки матки может увеличивать риск осложнений во время аборта, так как поврежденная ткань может быть более подвержена инфекциям и кровотечениям. Важно, чтобы врач оценил состояние шейки матки перед проведением процедуры.
-
Рекомендации по лечению: В некоторых случаях, если у женщины диагностирована эрозия шейки матки, врачи могут рекомендовать сначала провести лечение (например, криодеструкцию или лазерную терапию) перед абортом, чтобы снизить риск осложнений и улучшить общее состояние здоровья.
-
Психологические аспекты: Женщины с эрозией шейки матки могут испытывать повышенный уровень тревожности по поводу аборта, особенно если они уже сталкивались с проблемами в репродуктивной системе. Психологическая поддержка и консультации могут быть важными для снижения стресса и улучшения общего состояния перед процедурой.
Эти факты подчеркивают важность индивидуального подхода к каждой пациентке и необходимость тщательной оценки состояния здоровья перед проведением аборта.

Возможные осложнения
Перед проведением операции женщине рекомендуется пройти курс антибактериальной терапии для лечения эрозии, чтобы устранить патогенные микроорганизмы на пораженной области шейки матки. Однако, если беременность достигает 11-12 недель, можно выполнить прерывание беременности даже с существующим дефектом в нижнем сегменте.
После аборта существует высокий риск развития следующих осложнений:
- кровянистые выделения различной степени интенсивности;
- гиперплазия клеток эпителия цервикального канала;
- инфекция раневой поверхности шейки матки;
- трансформация нормальных клеток в атипичные;
Эти проблемы возникают из-за естественного снижения иммунной защиты в период беременности. Это необходимо для того, чтобы организм не отвергал плодное яйцо, которое является чуждым для женщины. Снижение иммунитета способствует размножению инфекционных агентов.
Эрозия после прерывания беременности
Если женщина не успела сделать медикаментозный аборт и не прошла предварительного лечения эрозивных участков нижнего сегмента матки, то есть риск развития осложнений. Самым опасным является прогрессирование эрозии шейки. Заболевание характеризуется тем, что на поверхности нормальной слизистой оболочки появляется железистый эпителий. В дальнейшем он может послужить началом развития дисплазии, что в свою очередь является предраковым состоянием.

Лечение эрозии
Для начала лечения эрозии необходимо пройти полное медицинское обследование. Ключевыми лабораторными анализами являются бактериальный посев и определение чувствительности к антибиотикам, а также выявление предраковых состояний, таких как дисплазия.
В некоторых случаях достаточно пройти курс антибиотикотерапии для устранения эрозии. После родов заболевание может исчезнуть самостоятельно. Если этого не происходит, врачи рекомендуют другой метод лечения дефектов слизистой оболочки шейки матки – прижигание. Основные методы включают:
- Криодеструкция – хирургическая процедура, основанная на замораживании пораженных тканей до очень низких температур, что приводит к их разрушению. Для этой процедуры применяются сжиженные газы, такие как углекислый газ, жидкий азот или закись азота.
- Химическая коагуляция – метод прижигания эрозии, использующий кислоты (например, раствор Солковагина). Препарат наносится на пораженные участки шейки матки, и через некоторое время “нездоровые” клетки начинают отторгаться, а на их месте формируется новый здоровый эпителий.
- Электрокоагуляция – метод, основанный на применении электрического тока определенной частоты, который прижигает язвы и новообразования. Этот метод не используется во время беременности и не рекомендуется для нерожавших женщин из-за высокого риска образования грубых рубцов, которые могут затруднить процесс родов.
- Лазеротерапия – современная процедура, которая без контакта и безболезненно удаляет эрозивные участки с помощью лазера. При этом отсутствуют кровотечения, рубцевание тканей и спаечные процессы.
Психологические аспекты аборта при эрозии шейки матки
Психологические аспекты аборта представляют собой важный аспект, который не следует игнорировать. Процедура аборта может вызывать у женщины широкий спектр эмоций, включая страх, тревогу, вину и даже облегчение. Эти чувства могут быть усугублены наличием эрозии шейки матки, что добавляет дополнительные слои беспокойства о здоровье и возможных осложнениях.
Во-первых, важно отметить, что аборт — это серьезное решение, которое может повлиять на психоэмоциональное состояние женщины. Наличие эрозии шейки матки может вызывать опасения по поводу того, как процедура повлияет на текущее состояние здоровья. Женщины могут испытывать страх перед возможными осложнениями, такими как инфекция или кровотечение, что может усугубить их эмоциональное состояние.
Во-вторых, многие женщины могут чувствовать вину или стыд после аборта, особенно если они сталкиваются с негативными стереотипами или осуждением со стороны общества. Эти чувства могут быть усилены, если женщина считает, что ее решение было принято под давлением или в условиях неопределенности, связанных с эрозией шейки матки. Психологическая поддержка в этот период может быть крайне важной, чтобы помочь женщине справиться с этими эмоциями и принять свое решение.
Кроме того, наличие эрозии шейки матки может вызвать дополнительные сомнения в правильности выбора метода аборта. Женщины могут задаваться вопросами о том, как процедура повлияет на их здоровье в будущем, и это может привести к повышенному уровню стресса. Важно, чтобы женщины получали полную информацию о рисках и возможных последствиях аборта в контексте их индивидуального состояния здоровья, что поможет снизить уровень тревожности.
Психологическая поддержка, включая консультации с психотерапевтом или группами поддержки, может оказать значительное влияние на эмоциональное состояние женщины в этот период. Обсуждение своих страхов и переживаний с профессионалом может помочь снизить уровень стресса и улучшить общее психоэмоциональное состояние.
В заключение, психологические аспекты аборта требуют внимательного подхода. Женщинам важно осознавать свои чувства и искать поддержку, чтобы справиться с эмоциональными последствиями этого решения. Понимание и принятие своих эмоций, а также получение информации и поддержки могут помочь в преодолении этого сложного периода.
Вопрос-ответ
Как эрозия шейки матки влияет на возможность проведения аборта?
Эрозия шейки матки может усложнить процесс аборта, так как воспалительные процессы или повреждения тканей могут увеличить риск инфекций и кровотечений. Важно, чтобы перед проведением процедуры врач оценил состояние шейки матки и принял решение о целесообразности аборта.
Какие осложнения могут возникнуть после аборта при наличии эрозии шейки матки?
После аборта у женщин с эрозией шейки матки могут возникнуть осложнения, такие как инфекция, усиление воспалительного процесса, а также риск повторного повреждения тканей. Поэтому важно следить за состоянием здоровья и обращаться к врачу при появлении любых настораживающих симптомов.
Как подготовиться к аборту, если у меня есть эрозия шейки матки?
Перед абортом необходимо пройти полное медицинское обследование, включая гинекологический осмотр и, возможно, дополнительные анализы. Врач может рекомендовать лечение эрозии перед процедурой, чтобы минимизировать риски и обеспечить более безопасное проведение аборта.
Советы
СОВЕТ №1
Перед принятием решения об аборте обязательно проконсультируйтесь с врачом-гинекологом. Он сможет оценить состояние вашей шейки матки и дать рекомендации, учитывая наличие эрозии.
СОВЕТ №2
Обсудите с врачом возможные риски и осложнения, связанные с абортом при эрозии шейки матки. Это поможет вам лучше понять, какие меры предосторожности следует предпринять.
СОВЕТ №3
После аборта следуйте всем рекомендациям врача по восстановлению. Это может включать регулярные осмотры и контроль состояния шейки матки, чтобы избежать возможных осложнений.
СОВЕТ №4
Не забывайте о важности психологической поддержки. Обсуждение своих переживаний с близкими или специалистом поможет вам справиться с эмоциональными последствиями аборта.

